• Tel: 858.663.9055
  • SeparatorEmail: info@nsjbio.com
  • Tel: 858.663.9055
  • Email: info@nsjbio.com
Home >> Antibodies >> Chromogranin A Antibody

Chromogranin A Antibody (RQ6461)

  Catalog No Formulation Size Price (USD)  
Image RQ6461 0.5mg/ml if reconstituted with 0.2ml sterile DI water 100 ug 439
Bulk quote request
Flow cytometry testing of mouse HEPA1-6 cells with Chromogranin A antibody at 1ug/million cells (blocked with goat sera); Red=cells alone, Green=isotype control, Blue= Chromogranin A antibody.
Western blot testing of mouse 1) stomach and 2) Neuro-2a cell lysate with Chromogranin A antibody. Expected molecular weight: 50-75 kDa depending on glycosylation level.
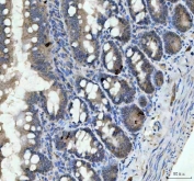
IHC staining of FFPE rat colon tissue with Chromogranin A antibody. HIER: boil tissue sections in pH8 EDTA for 20 min and allow to cool before testing.
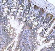
IHC staining of FFPE rat colon tissue with Chromogranin A antibody. HIER: boil tissue sections in pH8 EDTA for 20 min and allow to cool before testing.
Availability 1-3 business days
Species Reactivity Mouse, Rat
Format Antigen affinity purified
Clonality Polyclonal (rabbit origin)
Isotype Rabbit IgG
Purity Affinity purified
Buffer Lyophilized from 1X PBS with 2% Trehalose
UniProt P26339
Applications Western Blot : 1-2ug/ml
Flow Cytometry : 1-3ug/million cells
Immunohistochemistry (FFPE) : 2-5ug/ml
Direct ELISA : 0.1-0.5ug/ml
Limitations This Chromogranin A antibody is available for research use only.
Review this product on BioCompare and get a $20 Amazon gift card

Related Products

Description

CHGA, also known as CGA or chromogranin A, is an acidic protein costored and coreleased with catecholamines from storage granules in the adrenal medulla. CHGA is a member of the granin family of neuroendocrine secretory protein, It is located in secretory vesicles of neurons and endocrine cells. In humans, CHGA protein is encoded by the CHGA gene, and it is mapped to 14q32.12. CHGA gene product is a precursor to three biologically active peptides: vasostatin, pancreastatin, and parastatin. These peptides negatively modulate the neuroendocrine function of the releasing cell (autocrine) or nearby cells (paracrine).

Application Notes

Optimal dilution of the Chromogranin A antibody should be determined by the researcher.

Immunogen

An E. coli-derived mouse protein (amino acids D378-K425) was used as the immunogen for the Chromogranin A antibody.

Storage

After reconstitution, the Chromogranin A antibody can be stored for up to one month at 4oC. For long-term, aliquot and store at -20oC. Avoid repeated freezing and thawing.

Cross
Bulk Quote Request Form
Name*:
Organization*:
Email*:
Phone Number*:
Catalog No.*:
Comments and Specifics(amount, formulation, etc.)*:
Validation code: Captchapackage Image


Can't read the image? click here to refresh.
    *required field

Your bulk quote request has been submitted successfully!

Please contact us if you have any questions.