• Tel: 858.663.9055
  • SeparatorEmail: info@nsjbio.com
  • Tel: 858.663.9055
  • Email: info@nsjbio.com
Home >> Antibodies >> Chromogranin A Antibody Cocktail

Chromogranin A Antibody Cocktail [clone LK2H10 + PHE5 + CGA414] (V2098)

  Catalog No Formulation Size Price (USD)  
Image V2098-100UG 0.2 mg/ml in 1X PBS with 0.1 mg/ml BSA (US sourced) and 0.05% sodium azide 100 ug 539
Image
V2098-20UG 0.2 mg/ml in 1X PBS with 0.1 mg/ml BSA (US sourced) and 0.05% sodium azide 20 ug 249
Image
V2098SAF-100UG 1 mg/ml in 1X PBS; BSA free, sodium azide free 100 ug 539
Image
V2098IHC-7ML Prediluted in 1X PBS with 0.1 mg/ml BSA (US sourced) and 0.05% sodium azide; *For IHC use only* 7 ml 539
Bulk quote request
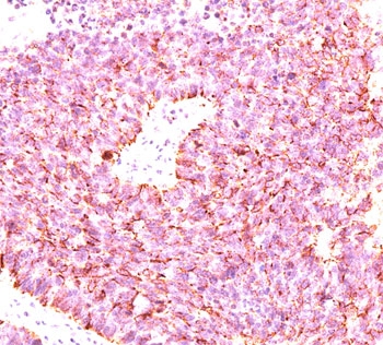
IHC testing of human small cell lung carcinoma stained with chromogranin A antibody cocktail (clones LK2H10 + PHE5 + CGA414).
IHC testing of FFPE human adrenal gland wtih Chromogranin A antibody cocktail.
Species Reactivity Human, Mouse, Rat
Format Purified
Clonality Monoclonal (mouse origin)
Isotype Mouse IgG1, kappa
Clone Name LK2H10 + PHE5 + CGA414
Purity Protein G affinity chromatography
Buffer 1X PBS, pH 7.4
Gene ID 1113
Localization Finely granular cytoplasmic
Applications Immunohistochemistry (FFPE) : 0.1-0.2ug/ml for 30 min at RT
Limitations This Chromogranin A antibody is available for research use only.
Review this product on BioCompare and get a $20 Amazon gift card

Related Products

Description

Chromogranin A is present in neuroendocrine cells throughout the body, including the neuroendocrine cells of the large and small intestine, adrenal medulla and pancreatic islets. It is an excellent marker for carcinoid tumors, pheochromocytomas, paragangliomas, and other neuroendocrine tumors. Co-expression of chromogranin A and neuron specific enolase (NSE) is common in neuroendocrine neoplasms. Reportedly, co-expression of certain keratins and chromogranin indicates neuroendocrine lineage. The presence of strong anti-chromogranin staining and absence of anti-keratin staining should raise the possibility of paraganglioma. The co-expression of chromogranin and NSE is typical of neuroendocrine neoplasms. Most pituitary adenomas and prolactinomas readily express chromogranin.

Application Notes

The concentration stated for each application is a general starting point. Variations in protocols, secondaries and substrates may require the antibody to be titered up or down for optimal performance.

1. Staining of formalin-fixed tissues requires boiling tissue sections in 10mM citrate buffer, pH 6.0, for 10-20 min followed by cooling at RT for 20 minutes.
2. The prediluted format is supplied in a dropper bottle and is optimized for use in IHC. After epitope retrieval step (if required), drip mAb solution onto the tissue section and incubate at RT for 30 min.

Immunogen

Human pheochromocytoma cells (LK2H10 + PHE5) and recombinant human Chromogranin A protein (CGA414) were used as the immunogen for this antibody.

Storage

Store the Chromogranin A antibody cocktail at 2-8oC (with azide) or aliquot and store at -20oC or colder (without azide).

Alternate Names

Beta-Granin; CGA; CHGA; Chromogranin A Parathyroid Secretory Protein 1; ER-37; Pancreastatin; Parastatin; Parathyroid Secretory Protein 1; Pituitary Secretory Protein I; SP-I; Vasostatin I or II, Chromogranin A antibody

Cross
Bulk Quote Request Form
Name*:
Organization*:
Email*:
Phone Number*:
Catalog No.*:
Comments and Specifics(amount, formulation, etc.)*:
Validation code: Captchapackage Image


Can't read the image? click here to refresh.
    *required field

Your bulk quote request has been submitted successfully!

Please contact us if you have any questions.