• Tel: 858.663.9055
  • SeparatorEmail: info@nsjbio.com
  • Tel: 858.663.9055
  • Email: info@nsjbio.com
Home >> Antibodies >> CHOP Antibody / DDIT3 / GADD153

CHOP Antibody / DDIT3 / GADD153 (RQ5969)

  Catalog No Formulation Size Price (USD)  
Image RQ5969 0.5mg/ml if reconstituted with 0.2ml sterile DI water 100 ug 439
Bulk quote request
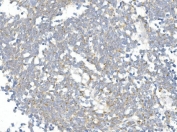
IHC staining of FFPE human renal cancer with CHOP antibody. HIER: boil tissue sections in pH8 EDTA for 20 min and allow to cool before testing.
IHC staining of FFPE human B lymphocytic tumor tissue with CHOP antibody. HIER: boil tissue sections in pH8 EDTA for 20 min and allow to cool before testing.
IHC staining of FFPE human lung cancer with CHOP antibody. HIER: boil tissue sections in pH8 EDTA for 20 min and allow to cool before testing.
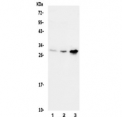
Western blot testing of human 1) U-87 MG, 2) K562 and 3) ThP-1 lysate with CHOP antibody. Expected molecular weight: 19-29 kDa.
Flow cytometry testing of human ThP-1 cells with CHOP antibody at 1ug/million cells (blocked with goat sera); Red=cells alone, Green=isotype control, Blue= DDIT3 antibody.
Flow cytometry testing of human K562 cells with CHOP antibody at 1ug/million cells (blocked with goat sera); Red=cells alone, Green=isotype control, Blue= DDIT3 antibody.
Availability 1-3 business days
Species Reactivity Human
Format Antigen affinity purified
Clonality Polyclonal (rabbit origin)
Isotype Rabbit IgG
Purity Affinity purified
Buffer Lyophilized from 1X PBS with 2% Trehalose and 0.025% sodium azide
UniProt P35638
Localization Nuclear, cytoplasmic
Applications Western Blot : 0.5-1ug/ml
Immunohistochemistry : 1-2ug/ml
Flow Cytometry : 1-3ug/million cells
Direct ELISA : 0.1-0.5ug/ml
Limitations This CHOP antibody is available for research use only.
Review this product on BioCompare and get a $20 Amazon gift card

Related Products

Description

DNA damage-inducible transcript 3, also known as C/EBP homologous protein (CHOP), is a pro-apoptotictranscription factor that is encoded by the DDIT3 gene. It is mapped to 12q13.3. This gene encodes a member of the CCAAT/enhancer-binding protein (C/EBP) family of transcription factors. The protein functions as a dominant-negative inhibitor by forming heterodimers with other C/EBP members, such as C/EBP and LAP (liver activator protein), and preventing their DNA binding activity. The protein is implicated in adipogenesis and erythropoiesis, is activated by endoplasmic reticulum stress, and promotes apoptosis. Fusion of this gene and FUS on chromosome 16 or EWSR1 on chromosome 22 induced by translocation generates chimeric proteins in myxoid liposarcomas or Ewing sarcoma. Multiple alternatively spliced transcript variants encoding two isoforms with different length have been identified.

Application Notes

Optimal dilution of the CHOP antibody should be determined by the researcher.

Immunogen

Recombinant human protein (amino acids M1-A169) was used as the immunogen for the CHOP antibody.

Storage

After reconstitution, the CHOP antibody can be stored for up to one month at 4oC. For long-term, aliquot and store at -20oC. Avoid repeated freezing and thawing.

Cross
Bulk Quote Request Form
Name*:
Organization*:
Email*:
Phone Number*:
Catalog No.*:
Comments and Specifics(amount, formulation, etc.)*:
Validation code: Captchapackage Image


Can't read the image? click here to refresh.
    *required field

Your bulk quote request has been submitted successfully!

Please contact us if you have any questions.