• Tel: 858.663.9055
  • SeparatorEmail: info@nsjbio.com
  • Tel: 858.663.9055
  • Email: info@nsjbio.com
Home >> Antibodies >> CHK1 Antibody / Checkpoint kinase 1

CHK1 Antibody / Checkpoint kinase 1 (R32638)

  Catalog No Formulation Size Price (USD)  
Image R32638 0.5mg/ml if reconstituted with 0.2ml sterile DI water 100 ug 439
Bulk quote request
Flow cytometry testing of fixed and permeabilized human K562 cells with CHK1 antibody at 1ug/million cells (blocked with goat sera); Red=cells alone, Green=isotype control, Blue= CHK1 antibody.
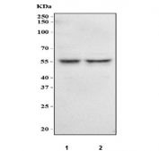
Western blot testing of human 1) 293T and 2) K562 cell lysate with CHK1 antibody at 0.5ug/ml. Predicted molecular weight ~54 kDa.
Availability 1-3 business days
Species Reactivity Human
Format Antigen affinity purified
Clonality Polyclonal (rabbit origin)
Isotype Rabbit IgG
Purity Antigen affinity
Buffer Lyophilized from 1X PBS with 2% Trehalose
UniProt O14757
Applications Western Blot : 0.5-1ug/ml
Flow Cytometry : 1-3ug/million cells
Limitations This CHK1 antibody is available for research use only.
Review this product on BioCompare and get a $20 Amazon gift card

Related Products

  • Applications : WB, ELISA
    Reactivity : Human, Mouse
  • Applications : WB
    Reactivity : Human, Rat
    Rab Mono Image
  • Applications : WB
    Reactivity : Human
    Rab Mono Image
  • Applications : WB
    Reactivity : Human
    Rab Mono Image
  • Applications : WB, ELISA
    Reactivity : Human, Mouse
  • Applications : WB, ELISA (peptide)
    Reactivity : Human, Mouse, Rat
    Pred. Reactivity : Cow

Description

CHEK1, Cell cycle checkpoint kinase, is an enzyme that in humans is encoded by the CHEK1 gene. By fluorescence in situ hybridization, the human CHEK1 gene is mapped to 11q24, near the ATM gene at 11q23. CHEK1 is a kinase that phosphorylates cdc25, an important phosphatase in cell cycle control, particularly for entry into mitosis. Furthermore, CHEK1 acts to integrate signals from ATM and ATR, and is involved in monitoring meiotic recombination, a process that involves programmed DNA breaks.

Application Notes

Optimal dilution of the CHK1 antibody should be determined by the researcher.

Immunogen

Amino acids M1-Q210 from the human protein were used as the immunogen for the CHK1 antibody.

Storage

After reconstitution, the CHK1 antibody can be stored for up to one month at 4oC. For long-term, aliquot and store at -20oC. Avoid repeated freezing and thawing.

Cross
Bulk Quote Request Form
Name*:
Organization*:
Email*:
Phone Number*:
Catalog No.*:
Comments and Specifics(amount, formulation, etc.)*:
Validation code: Captchapackage Image


Can't read the image? click here to refresh.
    *required field

Your bulk quote request has been submitted successfully!

Please contact us if you have any questions.