• Tel: 858.663.9055
  • SeparatorEmail: info@nsjbio.com
  • Tel: 858.663.9055
  • Email: info@nsjbio.com
Home >> Antibodies >> CHCHD10 Antibody

CHCHD10 Antibody (RQ6413)

  Catalog No Formulation Size Price (USD)  
Image RQ6413 0.5mg/ml if reconstituted with 0.2ml sterile DI water 100 ug 439
Bulk quote request
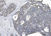
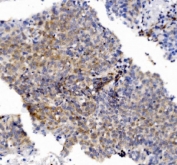
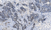
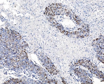
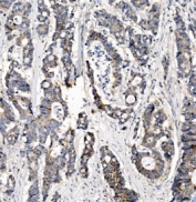
IHC staining of FFPE human liver cancer tissue with CHCHD10 antibody. HIER: boil tissue sections in pH8 EDTA for 20 min and allow to cool before testing.
IHC staining of FFPE human lung cancer tissue with CHCHD10 antibody. HIER: boil tissue sections in pH8 EDTA for 20 min and allow to cool before testing.
IHC staining of FFPE human colonic adenocarcinoma tissue with CHCHD10 antibody. HIER: boil tissue sections in pH8 EDTA for 20 min and allow to cool before testing.
IHC staining of FFPE human ovarian serous adenocarcinoma tissue with CHCHD10 antibody. HIER: boil tissue sections in pH8 EDTA for 20 min and allow to cool before testing.
IHC staining of FFPE human gallbladder adenocarcinoma tissue with CHCHD10 antibody. HIER: boil tissue sections in pH8 EDTA for 20 min and allow to cool before testing.
IHC staining of FFPE rat heart tissue with CHCHD10 antibody. HIER: boil tissue sections in pH8 EDTA for 20 min and allow to cool before testing.
Immunofluorescent staining of FFPE human Caco-2 cells with CHCHD10 antibody (green) and DAPI nuclear stain (blue). HIER: steam section in pH6 citrate buffer for 20 min.
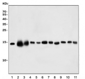
Western blot testing of 1) human HEK293, 2) monkey heart, 3) monkey liver, 4) human HepG2, 5) human A549, 6) rat heart, 7) rat liver, 8) rat skeletal muscle, 9) mouse heart, 10) mouse liver and 11) mouse skeletal muscle tissue lysate with CHCHD10 antibody. Predicted molecular weight ~14 kDa.
Flow cytometry testing of human ThP-1 cells with CHCHD10 antibody at 1ug/million cells (blocked with goat sera); Red=cells alone, Green=isotype control, Blue= CHCHD10 antibody.
Availability 1-3 business days
Species Reactivity Human, Mouse, Rat, Monkey
Format Purified
Clonality Polyclonal (rabbit origin)
Isotype Rabbit IgG
Purity Antigen affinity purified
Buffer Lyophilized from 1X PBS with 2% Trehalose
UniProt Q8WYQ3
Localization Cytoplasmic
Applications Western Blot : 0.5-1ug/ml
Immunohistochemistry (FFPE) : 2-5ug/ml
Immunofluorescence (FFPE) : 5ug/ml
Flow Cytometry : 1-3ug/million cells
Direct ELISA : 0.1-0.5ug/ml
Limitations This CHCHD10 antibody is available for research use only.
Review this product on BioCompare and get a $20 Amazon gift card

Description

Coiled-coil-helix-coiled-coil-helix domain-containing protein 10, mitochondrial, also known as Protein N27C7-4 is a protein that in humans is encoded by the CHCHD10 gene. This gene encodes a mitochondrial protein that is enriched at cristae junctions in the intermembrane space. It may play a role in cristae morphology maintenance or oxidative phosphorylation. Mutations in this gene cause frontotemporal dementia and/or amyotrophic lateral sclerosis-2. Alternative splicing of this gene results in multiple transcript variants. Related pseudogenes have been identified on chromosomes 7 and 19.

Application Notes

Optimal dilution of the CHCHD10 antibody should be determined by the researcher.

Immunogen

Recombinant human protein (amino acids P80-P142) was used as the immunogen for the CHCHD10 antibody.

Storage

After reconstitution, the CHCHD10 antibody can be stored for up to one month at 4oC. For long-term, aliquot and store at -20oC. Avoid repeated freezing and thawing.

Cross
Bulk Quote Request Form
Name*:
Organization*:
Email*:
Phone Number*:
Catalog No.*:
Comments and Specifics(amount, formulation, etc.)*:
Validation code: Captchapackage Image


Can't read the image? click here to refresh.
    *required field

Your bulk quote request has been submitted successfully!

Please contact us if you have any questions.