• Tel: 858.663.9055
  • SeparatorEmail: info@nsjbio.com
  • Tel: 858.663.9055
  • Email: info@nsjbio.com
Home >> Antibodies >> Chat Antibody / Choline acetyltransferase

Chat Antibody / Choline acetyltransferase (RQ6044)

  Catalog No Formulation Size Price (USD)  
Image RQ6044 0.5mg/ml if reconstituted with 0.2ml sterile DI water 100 ug 439
Bulk quote request
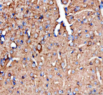
IHC staining of FFPE mouse spinal cord with Chat antibody. HIER: boil tissue sections in pH8 EDTA for 20 min and allow to cool before testing.
IHC staining of FFPE rat spinal cord with Chat antibody. HIER: boil tissue sections in pH8 EDTA for 20 min and allow to cool before testing.
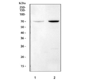
Western blot testing of 1) rat brain and 2) mouse brain tissue lysate with Chat antibody. Predicted molecular weight ~83/74/70 kDa (isoforms M/S/R).
Availability 1-3 business days
Species Reactivity Mouse, Rat
Format Antigen affinity purified
Clonality Polyclonal (rabbit origin)
Isotype Rabbit IgG
Purity Affinity purified
Buffer Lyophilized from 1X PBS with 2% Trehalose
UniProt P32738
Localization Nuclear, cytoplasmic
Applications Western Blot : 0.5-1ug/ml
Immunohistochemistry : 2-5ug/ml
Direct ELISA : 0.1-0.5ug/ml
Limitations This Chat antibody is available for research use only.
Review this product on BioCompare and get a $20 Amazon gift card

Related Products

Description

ChAT antibody is a widely used reagent for studying cholinergic neurotransmission and nervous system biology. The encoded protein, choline acetyltransferase (ChAT), is the enzyme responsible for synthesizing the neurotransmitter acetylcholine from acetyl-CoA and choline. Acetylcholine plays essential roles in both the central and peripheral nervous systems, regulating processes such as muscle contraction, learning, memory, and autonomic function. By catalyzing the final step of acetylcholine biosynthesis, ChAT serves as a definitive marker for cholinergic neurons.

Choline acetyltransferase is expressed in presynaptic terminals of cholinergic neurons, where it ensures a constant supply of acetylcholine for neurotransmission. Its activity is tightly regulated to maintain synaptic function and plasticity. In addition to its neuronal localization, ChAT is also found in peripheral tissues such as the immune system, where it may influence non-neuronal cholinergic signaling pathways. These diverse roles make it a critical protein for maintaining communication across multiple organ systems.

Alterations in ChAT expression or activity have been linked to neurological disease. Reduced ChAT levels are a hallmark of Alzheimer disease and other dementias, correlating with impaired cholinergic signaling and cognitive decline. Abnormalities in choline acetyltransferase function have also been associated with motor neuron diseases, such as amyotrophic lateral sclerosis (ALS), and congenital myasthenic syndromes. These findings highlight ChAT as a biomarker for neurodegeneration and a potential target for therapeutic intervention.

At the molecular level, choline acetyltransferase exists in both soluble and membrane-associated forms, reflecting the diverse needs of different neuronal populations. Genetic studies have identified multiple splice variants of ChAT, which may contribute to tissue-specific regulation of acetylcholine synthesis. Structural studies indicate that the enzyme contains conserved catalytic domains essential for binding acetyl-CoA and choline, ensuring efficient neurotransmitter production.

The ChAT antibody is commonly used in western blotting, immunohistochemistry, immunofluorescence, and flow cytometry to label cholinergic neurons and measure protein expression. These applications support studies of neuroanatomy, synaptic plasticity, and disease pathology. For researchers investigating cholinergic circuits, neurodegeneration, or neurotransmitter regulation, the ChAT antibody provides a reliable and specific detection tool. NSJ Bioreagents supplies validated antibodies that ensure accuracy and reproducibility in advanced neuroscience research.

Application Notes

Optimal dilution of the Chat antibody should be determined by the researcher.

Immunogen

Recombinant rat protein (amino acids E19-D612) was used as the immunogen for the Chat antibody.

Storage

After reconstitution, the Chat antibody can be stored for up to one month at 4oC. For long-term, aliquot and store at -20oC. Avoid repeated freezing and thawing.

Cross
Bulk Quote Request Form
Name*:
Organization*:
Email*:
Phone Number*:
Catalog No.*:
Comments and Specifics(amount, formulation, etc.)*:
Validation code: Captchapackage Image


Can't read the image? click here to refresh.
    *required field

Your bulk quote request has been submitted successfully!

Please contact us if you have any questions.