• Tel: 858.663.9055
  • SeparatorEmail: info@nsjbio.com
  • Tel: 858.663.9055
  • Email: info@nsjbio.com
Home >> Antibodies >> CGRP Antibody / S100A12

CGRP Antibody / S100A12 [clone S100A12/8952R] (V4741)

  Catalog No Formulation Size Price (USD)  
Image V4741-100UG 0.2 mg/ml in 1X PBS with 0.1 mg/ml BSA (US sourced), 0.05% sodium azide 100 ug 539
Image
V4741-20UG 0.2 mg/ml in 1X PBS with 0.1 mg/ml BSA (US sourced), 0.05% sodium azide 20 ug 249
Image
V4741SAF-100UG 1 mg/ml in 1X PBS; BSA free, sodium azide free 100 ug 539
Microvalidated Recrabbitmono
Bulk quote request
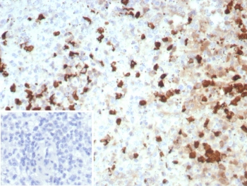
IHC staining of FFPE human spleen tissue with CGRP antibody (clone S100A12/8952R). Inset: PBS used in place of primary Ab (secondary Ab negative control). HIER: boil tissue sections in pH 9 10mM Tris with 1mM EDTA for 20 min and allow to cool before testing.
SDS-PAGE analysis of purified, BSA-free S100A12 antibody (clone S100A12/8952R) as confirmation of integrity and purity.
Availability 1-3 business days
Species Reactivity Human
Format Purified
Clonality Recombinant Rabbit Monoclonal
Isotype Rabbit IgG, kappa
Clone Name S100A12/8952R
Purity Protein A/G affinity
UniProt P80511
Localization Secreted
Applications Immunohistochemistry (FFPE) : 1-2ug/ml for 30 min at RT
Limitations This CGRP antibody is available for research use only.
Review this product on BioCompare and get a $20 Amazon gift card

Related Products

Description

The family of EF-hand type Ca2+-binding proteins includes Calbindin (previously designated vitamin D-dependent Ca2+-binding protein), S-100 Alpha and beta, Calgranulins A (also designated MRP8), B (also designated MRP14) and C (S100A12, CGRP) and the parvalbumin family members, including parvalbumin Alpha and parvalbumin beta (also designated oncomodulin). Calbindin, S-100 proteins and parvalbumin proteins are each expressed in neural tissues. In addition, S-100 Alpha and beta are present in a variety of other tissues, and Calbindin is present in intestine and kidney. Parvalbumin Alpha is also found in fast-contracting/relaxing skeletal muscle fibers and parvalbumin beta is found in many tumor tissues as well as in the organ of Corti. Calbindin, S-100 proteins and parvalbulmins have all been detected in leydig cells and the testis. These proteins are thought to play a role in hormone production and spermatogenesis. Calgranulin is expressed in macrophages and epithelial cells.

Application Notes

Optimal dilution of the CGRP antibody should be determined by the researcher.

Immunogen

A recombinant partial protein sequence (within amino acids 1-95) from the human protein was used as the immunogen for the CGRP antibody.

Storage

Aliquot the CGRP antibody and store frozen at -20oC or colder. Avoid repeated freeze-thaw cycles.

Cross
Bulk Quote Request Form
Name*:
Organization*:
Email*:
Phone Number*:
Catalog No.*:
Comments and Specifics(amount, formulation, etc.)*:
Validation code: Captchapackage Image


Can't read the image? click here to refresh.
    *required field

Your bulk quote request has been submitted successfully!

Please contact us if you have any questions.