• Tel: 858.663.9055
  • SeparatorEmail: info@nsjbio.com
  • Tel: 858.663.9055
  • Email: info@nsjbio.com
Home >> Antibodies >> CFD Antibody / Complement Factor D

CFD Antibody / Complement Factor D (RQ4073)

  Catalog No Formulation Size Price (USD)  
Image RQ4073 0.5mg/ml if reconstituted with 0.2ml sterile DI water 100 ug 439
Bulk quote request
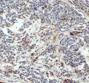
IHC staining of FFPE human breast cancer tissue with CFD antibody. Required HIER: steam section in pH8 EDTA buffer for 20 min and allow to cool prior to testing.
IHC staining of FFPE human pancreatic cancer tissue with CFD antibody. Required HIER: steam section in pH8 EDTA buffer for 20 min and allow to cool prior to testing.
IHC staining of FFPE mouse adipose tissue with CFD antibody. Required HIER: steam section in pH8 EDTA buffer for 20 min and allow to cool prior to testing.
IHC staining of FFPE rat kidney tissue with CFD antibody. Required HIER: steam section in pH8 EDTA buffer for 20 min and allow to cool prior to testing.
Western blot testing of 1) human ThP-1, 2) human HeLa, 3) rat lung, 4) mouse lung and 5) mouse NIH 3T3 cell lysate with CFD antibody. Predicted molecular weight ~27 kDa.
Availability 1-3 business days
Species Reactivity Human, Mouse, Rat
Format Antigen affinity purified
Clonality Polyclonal (rabbit origin)
Isotype Rabbit IgG
Purity Antigen affinity purified
Buffer Lyophilized from 1X PBS with 2% Trehalose
UniProt P00746
Localization Secreted
Applications Western Blot : 0.5-1ug/ml
Immunohistochemistry (FFPE) : 2-5ug/ml
Direct ELISA : 0.1-0.5ug/ml
Limitations This CFD antibody is available for research use only.
Review this product on BioCompare and get a $20 Amazon gift card

Related Products

Description

Factor D is a protein which in humans is encoded by the CFD gene. The protein encoded by this gene is a member of the trypsin family of peptidases. The encoded protein is a component of the alternative complement pathway best known for its role in humoral suppression of infectious agents. It is also a serine protease that is secreted by adipocytes into the bloodstream. And it stimulates glucose transport for triglyceride accumulation in fats cells and inhibits lipolysis. Finally, the encoded protein has a high level of expression in fat, suggesting a role for adipose tissue in immune system biology.

Application Notes

Optimal dilution of the CFD antibody should be determined by the researcher.

Immunogen

A recombinant human partial protein corresponding to amino acids I26-A253 was used as the immunogen for the CFD antibody.

Storage

After reconstitution, the CFD antibody can be stored for up to one month at 4oC. For long-term, aliquot and store at -20oC. Avoid repeated freezing and thawing.

Cross
Bulk Quote Request Form
Name*:
Organization*:
Email*:
Phone Number*:
Catalog No.*:
Comments and Specifics(amount, formulation, etc.)*:
Validation code: Captchapackage Image


Can't read the image? click here to refresh.
    *required field

Your bulk quote request has been submitted successfully!

Please contact us if you have any questions.