- Tel: 858.663.9055
- 
									 Email: info@nsjbio.com Email: info@nsjbio.com
- Tel: 858.663.9055
- Email: info@nsjbio.com
 Email: info@nsjbio.com
Email: info@nsjbio.com
								Related Products
| 
 | 
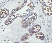
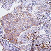
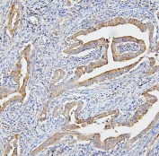
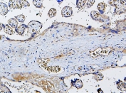
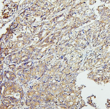
CETP (Cholesteryl Ester Transfer Protein Plasma), is a plasma protein that facilitates the transport of cholesteryl esters and triglycerides between the lipoproteins. CETP is also known as lipid transfer protein I (Day et al., 1994). Sparkes et al. (1987) used a CETP probe against DNA from a human/mouse somatic cell hybrid panel to assign the CETP gene to chromosome 16. Because the role of CETP in atherosclerosis remained unclear, Okamoto et al. (2000) attempted to develop a potent, specific CETP inhibitor. One inhibitor, JTT-705, forms a disulfide bond with CETP and increases high density lipoprotein (HDL) cholesterol, decreases non-HDL cholesterol, and inhibits the progression of atherosclerosis in rabbits.
Optimal dilution of the CETP antibody should be determined by the researcher.
A human recombinant protein (amino acids H77-K353) was used as the immunogen for the CETP antibody.
After reconstitution, the CETP antibody can be stored for up to one month at 4oC. For long-term, aliquot and store at -20oC. Avoid repeated freezing and thawing.
 
Your bulk quote request has been submitted successfully!
Please contact us if you have any questions.