• Tel: 858.663.9055
  • SeparatorEmail: info@nsjbio.com
  • Tel: 858.663.9055
  • Email: info@nsjbio.com
Home >> Antibodies >> CES1 Antibody / Carboxylesterase 1

CES1 Antibody / Carboxylesterase 1 [clone 3F10] (RQ6224)

  Catalog No Formulation Size Price (USD)  
Image RQ6224 0.5mg/ml if reconstituted with 0.2ml sterile DI water 100 ug 439
Bulk quote request
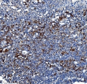
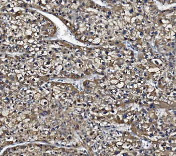
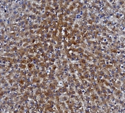
IHC staining of FFPE human liver cancer with CES1 antibody. HIER: boil tissue sections in pH8 EDTA for 20 min and allow to cool before testing.
IHC staining of FFPE rat liver with CES1 antibody. HIER: boil tissue sections in pH8 EDTA for 20 min and allow to cool before testing.
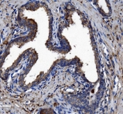
IHC staining of FFPE human prostate cancer with CES1 antibody. HIER: boil tissue sections in pH8 EDTA for 20 min and allow to cool before testing.
IHC staining of FFPE human tonsil with CES1 antibody. HIER: boil tissue sections in pH8 EDTA for 20 min and allow to cool before testing.
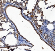
IHC staining of FFPE mouse lung with CES1 antibody. HIER: boil tissue sections in pH8 EDTA for 20 min and allow to cool before testing.
Immunofluorescent staining of FFPE human HepG2 cells with CES1 antibody (green) and DAPI nuclear stain (blue). HIER: steam section in pH6 citrate buffer for 20 min.
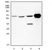
Western blot testing of 1) human ThP-1, 2) human HepG2, 3) rat liver and 4) mouse liver lysate with CES1 antibody. Predicted molecular weight ~63 kDa.
Flow cytometry testing of human HepG2 cells with CES1 antibody at 1ug/million cells (blocked with goat sera); Red=cells alone, Green=isotype control, Blue= CES1 antibody.
Availability 1-3 business days
Species Reactivity Human, Mouse, Rat
Format Antigen affinity purified
Clonality Monoclonal (mouse origin)
Isotype Mouse IgG2b
Clone Name 3F10
Purity Affinity purified
Buffer Lyophilized from 1X PBS with 2% Trehalose
UniProt P23141
Localization Cytoplasmic
Applications Western Blot : 1-2ug/ml
Immunohistochemistry (FFPE) : 2-5ug/ml
Immunofluorescence : 5ug/ml
Flow Cytometry : 1-3ug/million cells
Limitations This Liver CES1 antibody is available for research use only.
Review this product on BioCompare and get a $20 Amazon gift card

Related Products

Description

Liver carboxylesterase 1 also known as carboxylesterase 1 (CES1, hCE-1 or CES1A1) is an enzyme that in humans is encoded by the CES1 gene. This gene encodes a member of the carboxylesterase large family. The family members are responsible for the hydrolysis or transesterification of various xenobiotics, such as cocaine and heroin, and endogenous substrates with ester, thioester, or amide bonds. They may participate in fatty acyl and cholesterol ester metabolism, and may play a role in the blood-brain barrier system. This enzyme is the major liver enzyme and functions in liver drug clearance. Mutations of this gene cause carboxylesterase 1 deficiency. Three transcript variants encoding three different isoforms have been found for this gene.

Application Notes

Optimal dilution of the CES1 antibody should be determined by the researcher.

Immunogen

A human recombinant partial protein (amino acids E99-A206) was used as the immunogen for the CES1 antibody.

Storage

After reconstitution, the CES1 antibody can be stored for up to one month at 4oC. For long-term, aliquot and store at -20oC. Avoid repeated freezing and thawing.

Cross
Bulk Quote Request Form
Name*:
Organization*:
Email*:
Phone Number*:
Catalog No.*:
Comments and Specifics(amount, formulation, etc.)*:
Validation code: Captchapackage Image


Can't read the image? click here to refresh.
    *required field

Your bulk quote request has been submitted successfully!

Please contact us if you have any questions.