• Tel: 858.663.9055
  • SeparatorEmail: info@nsjbio.com
  • Tel: 858.663.9055
  • Email: info@nsjbio.com
Home >> Antibodies >> C/EBP beta Antibody

C/EBP beta Antibody (R31588)

  Catalog No Formulation Size Price (USD)  
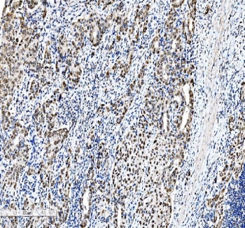
Image R31588 0.5mg/ml if reconstituted with 0.2ml sterile DI water 100 ug 439
Bulk quote request
IHC staining of FFPE human squamous metaplasia of renal pelvis tissue with C/EBP beta antibody. HIER: boil tissue sections in pH8 EDTA for 20 min and allow to cool before testing.
IHC staining of FFPE human placental tissue with C/EBP beta antibody. HIER: boil tissue sections in pH8 EDTA for 20 min and allow to cool before testing.
Immunofluorescent staining of FFPE human A431 cells with C/EBP beta antibody (green) and DAPI nuclear stain (blue). HIER: steam section in pH6 citrate buffer for 20 min.
Western blot testing of 1) human HeLa and 2) human U-87 MG cell lysate with C/EBP beta antibody. Expected molecular weight: 36-41 kDa but may be observed at higher molecular weights due to glycosylation.
Flow cytometry testing of fixed and permeabilized human A431 cells with C/EBP beta antibody at 1ug/million cells (blocked with goat sera); Red=cells alone, Green=isotype control, Blue= C/EBP beta antibody.
Availability 1-3 business days
Species Reactivity Human
Format Antigen affinity purified
Clonality Polyclonal (rabbit origin)
Isotype Rabbit IgG
Purity Antigen affinity
Buffer Lyophilized from 1X PBS with 2% Trehalose
Gene ID 1051
Localization Nuclear, cytoplasmic
Applications Western Blot : 0.5-1ug/ml
Immunohistochemistry (FFPE) : 2-5ug/ml
Flow Cytometry : 1-3ug/ml
Immunofluorescence : 5ug/ml
Limitations This C/EBP beta antibody is available for research use only.
Review this product on BioCompare and get a $20 Amazon gift card

Related Products

  • Applications : WB, IF
    Reactivity : Human, Mouse, Rat
    Recrabbitmono
  • Applications : WB, IHC, FACS, ELISA
    Reactivity : Human
    Pred. Reactivity : Mouse, Rat, Bovine, Chicken
  • Applications : WB, ELISA
    Reactivity : Rat
  • Applications : WB, ELISA (peptide)
    Reactivity : Human, Mouse, Rat, Pig
    Pred. Reactivity : Dog, Cow

Description

CCAAT/enhancer-binding protein beta, also known as is C/EBP beta, is a protein that in humans is encoded by the CEBPB gene. The protein encoded by this intronless gene is a bZIP transcription factor that can bind as a homodimer to certain DNA regulatory regions. It can also form heterodimers with the related proteins CEBP-alpha, CEBP-delta, and CEBP-gamma. The encoded protein is important in the regulation of genes involved in immune and inflammatory responses and has been shown to bind to the IL-1 response element in theIL-6gene, as well as to regulatory regions of several acute-phase and cytokine genes. In addition, the encoded protein can bind the promoter and upstream element and stimulate the expression of the collagen type I gene. C/EBP beta is critical for normal macrophage functioning, an important immune cell sub-type. Observational work has shown that expression of C/EBP beta in blood leukocytes is positively associated with muscle strength in humans, emphasizing the importance of the immune system, and particularly macrophages, in the maintenance of muscle function.

Application Notes

The stated application concentrations are suggested starting amounts. Titration of the C/EBP beta antibody may be required due to differences in protocols and secondary/substrate sensitivity.

Immunogen

Human partial recombinant protein (AA 1-200) was used as the immunogen for this C/EBP beta antibody.

Storage

After reconstitution, the C/EBP beta antibody can be stored for up to one month at 4oC. For long-term, aliquot and store at -20oC. Avoid repeated freezing and thawing.

Cross
Bulk Quote Request Form
Name*:
Organization*:
Email*:
Phone Number*:
Catalog No.*:
Comments and Specifics(amount, formulation, etc.)*:
Validation code: Captchapackage Image


Can't read the image? click here to refresh.
    *required field

Your bulk quote request has been submitted successfully!

Please contact us if you have any questions.