• Tel: 858.663.9055
  • SeparatorEmail: info@nsjbio.com
  • Tel: 858.663.9055
  • Email: info@nsjbio.com
Home >> Antibodies >> CEA Antibody / CEACAM5

CEA Antibody / CEACAM5 [clone C6G9] (R30022)

  Catalog No Formulation Size Price (USD)  
Image R30022 0.5mg/ml if reconstituted with 0.2ml sterile DI water 100 ug 439
Bulk quote request
Western blot testing of CEA antibody and Lane 1: Recombinant human CEA protein 10ng; Lane 2: 5ng; 3: 2.5ng; 4: 1.25ng
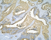
IHC staining of FFPE human intestinal cancer with CEA antibody at 1ug/ml. HIER: boil tissue sections in pH6, 10mM citrate buffer, for 10-20 min and allow to cool before testing.
Availability 1-3 business days
Species Reactivity Human
Format Ascites
Clonality Monoclonal (mouse origin)
Isotype Mouse IgG1
Clone Name C6G9
Purity Ascites
Buffer Lyophilized from mouse ascites fluid with 2.5% BSA and 0.025% sodium azide
Gene ID 634
Applications Western Blot : 0.5-1ug/ml
IHC (FFPE) : 0.5-2ug/ml
Limitations This CEA antibody is available for research use only.
Review this product on BioCompare and get a $20 Amazon gift card

Related Products

Description

Carcinoembryonic antigen is a complex immunoreactive glycoprotein with a molecular weight of 180,000 comprising 60% carbohydrate. It is found in adenocarcinomas of endodermally derived digestive system epithelia and in fetal colon.Carcinoembryonic antigen is one of the most widely used tumor markers in serum immunoassay determinations of carcinoma.

Application Notes

The stated application concentrations are suggested starting amounts. Titration of the CEA antibody may be required due to differences in protocols and secondary/substrate sensitivity.

Immunogen

Carcinoembryonic antigen isolated from a human colon adenocarcinoma cell line was used as the immunogen for this CEA antibody.

Storage

The CEA antibody can be stored for up to one month at 4oC. For long-term, aliquot and store at -20oC. Avoid repeated freezing and thawing.

Cross
Bulk Quote Request Form
Name*:
Organization*:
Email*:
Phone Number*:
Catalog No.*:
Comments and Specifics(amount, formulation, etc.)*:
Validation code: Captchapackage Image


Can't read the image? click here to refresh.
    *required field

Your bulk quote request has been submitted successfully!

Please contact us if you have any questions.