• Tel: 858.663.9055
  • SeparatorEmail: info@nsjbio.com
  • Tel: 858.663.9055
  • Email: info@nsjbio.com
Home >> Antibodies >> CEA Antibody / Carcinoembryonic Antigen

CEA Antibody / Carcinoembryonic Antigen [clone RM326] (R20351)

  Catalog No Formulation Size Price (USD)  
Image R20351-0.1ML Antibody in PBS with 50% glycerol, 1% BSA and 0.09% sodium azide 100 ul 429
Microvalidated Recrabbitmono
Bulk quote request
Western blot testing of human MCF7 cell lysate with recombinant CEA antibody at 1:000. Expected molecular weight: 80~200 kDa depending on glycosylation level.
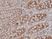
IHC staining of FFPE human colon tissue with recombinant CEA antibody at 1:2000.
Availability 1-3 business days
Species Reactivity Human
Format Purified
Clonality Recombinant Rabbit Monoclonal
Isotype Rabbit IgG
Clone Name RM326
Purity Protein A purified from animal origin-free supernatant
UniProt P06731
Localization Cytoplasmic and luminal surface
Applications Immunohistochemistry (FFPE) : 1:1000-1:2000
Western Blot : 1:1000-1:2000
ELISA : 1:1000-1:5000
Limitations This recombinant CEA antibody is available for research use only.
Review this product on BioCompare and get a $20 Amazon gift card

Related Products

Description

This antibody reacts to human CEA (Carcinoembryonic Antigen, CD66e).

Application Notes

The stated application concentrations are suggested starting points. Titration of the recombinant CEA antibody may be required due to differences in protocols and secondary/substrate sensitivity.

Immunogen

Native Carcinoembryonic Antigen protein purified from human liver tissue was used as the immunogen for the recombinant CEA antibody.

Storage

Store the recombinant CEA antibody at -20oC.

Cross
Bulk Quote Request Form
Name*:
Organization*:
Email*:
Phone Number*:
Catalog No.*:
Comments and Specifics(amount, formulation, etc.)*:
Validation code: Captchapackage Image


Can't read the image? click here to refresh.
    *required field

Your bulk quote request has been submitted successfully!

Please contact us if you have any questions.