• Tel: 858.663.9055
  • SeparatorEmail: info@nsjbio.com
  • Tel: 858.663.9055
  • Email: info@nsjbio.com
Home >> Antibodies >> CEA Antibody

CEA Antibody [clone C66/4098] (V8631)

  Catalog No Formulation Size Price (USD)  
Image V8631-100UG 0.2 mg/ml in 1X PBS with 0.1 mg/ml BSA (US sourced) and 0.05% sodium azide 100 ug 539
Image
V8631-20UG 0.2 mg/ml in 1X PBS with 0.1 mg/ml BSA (US sourced) and 0.05% sodium azide 20 ug 249
Image
V8631SAF-100UG 1 mg/ml in 1X PBS; BSA free, sodium azide free 100 ug 539
Microvalidated
Bulk quote request
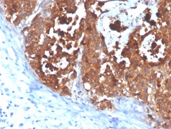
IHC staining of FFPE human colon carcinoma with CEA antibody (clone C66/4098). HIER: boil tissue sections in pH 9 10mM Tris with 1mM EDTA for 20 min and allow to cool before testing.
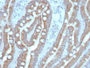
IHC staining of FFPE human small intestine with CEA antibody (clone C66/4098). HIER: boil tissue sections in pH 9 10mM Tris with 1mM EDTA for 20 min and allow to cool before testing.
Analysis of HuProt(TM) microarray containing more than 19,000 full-length human proteins using CEA antibody (clone C66/4098). These results demonstrate the foremost specificity of the C66/4098 mAb. Z- and S- score: The Z-score represents the strength of a signal that an antibody (in combination with a fluorescently-tagged anti-IgG secondary Ab) produces when binding to a particular protein on the HuProt(TM) array. Z-scores are described in units of standard deviations (SD's) above the mean value of all signals generated on that array. If the targets on the HuProt(TM) are arranged in descending order of the Z-score, the S-score is the difference (also in units of SD's) between the Z-scores. The S-score therefore represents the relative target specificity of an Ab to its intended target.
Availability 1-3 business days
Species Reactivity Human
Format Purified
Clonality Monoclonal (mouse origin)
Isotype Mouse IgG1, kappa
Clone Name C66/4098
Purity Protein G affinity chromatography
UniProt P06731
Localization Cytoplasmic and luminal surface
Applications Immunohistochemistry (FFPE) : 1-2ug/ml for 30 minutes at RT
Limitations This CEA antibody is available for research use only.
Review this product on BioCompare and get a $20 Amazon gift card

Related Products

Description

The CD66 (carcinoembryonic antigen, CEA, biliary glycoprotein I, BGP-1, CEACAM) immunoglobulin superfamily of genes encode cell adhesion proteins, which are expressed at higher levels in tumorous tissues than in normal tissues. The human CD66 gene family is a diverse set of glycoproteins of epithelial and hematopoietic lineage that comprises 29 genes, which map to chromosome position 19q13.2. CD66A, CD66B, CD66C, CD66D, CD66E and CD66F are the best characterized CD66 antigens, and CD66A-D expression upregulates on the surface of granulocytes upon stimulation. Certain CD66 family members mediate homotypic and heterotypic intercellular adhesion events. CD66E, also known as CEA, is a well known tumor marker and a heavily glycosylated GPI-linked cell surface molecule.

Application Notes

Optimal dilution of the CEA antibody should be determined by the researcher.

Immunogen

Recombinant full-length human CEA protein was used as the immunogen for the CEA antibody.

Storage

Store the CEA antibody at 2-8oC (with azide) or aliquot and store at -20oC or colder (without azide).

Cross
Bulk Quote Request Form
Name*:
Organization*:
Email*:
Phone Number*:
Catalog No.*:
Comments and Specifics(amount, formulation, etc.)*:
Validation code: Captchapackage Image


Can't read the image? click here to refresh.
    *required field

Your bulk quote request has been submitted successfully!

Please contact us if you have any questions.