• Tel: 858.663.9055
  • SeparatorEmail: info@nsjbio.com
  • Tel: 858.663.9055
  • Email: info@nsjbio.com
Home >> Antibodies >> CDT1 Antibody / Chromatin licensing and DNA replication factor 1

CDT1 Antibody / Chromatin licensing and DNA replication factor 1 (RQ6763)

  Catalog No Formulation Size Price (USD)  
Image RQ6763 0.5mg/ml if reconstituted with 0.2ml sterile DI water 100 ug 439
Bulk quote request
Flow cytometry testing of human HepG2 cells with CDT1 antibody at 1ug/million cells (blocked with goat sera); Red=cells alone, Green=isotype control, Blue= CDT1 antibody.
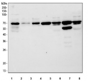
Western blot testing of 1) human Jurkat, 2) human HepG2, 3) human Raji, 4) human K562, 5) rat brain, 6) rat liver, 7) mouse brain and 8) mouse liver tissue lysate with CDT1 antibody. Predicted molecular weight ~60 kDa, commonly observed at 60-70 kDa.
Western blot testing of 1) human HepG2, 2) human HeLa, 3) human 293T, 4) rat liver, 5) rat brain, 6) mouse liver and 7) mouse brain tissue lysate with CDT1 antibody. Predicted molecular weight ~60 kDa, commonly observed at 60-70 kDa.
Immunofluorescent staining of FFPE human U-2 OS cells with CDT1 antibody (green) and Beta Tubulin mAb (red). HIER: steam section in pH6 citrate buffer for 20 min.
Availability 1-3 business days
Species Reactivity Human, Mouse, Rat
Format Antigen affinity purified
Clonality Polyclonal (rabbit origin)
Isotype Rabbit IgG
Purity Antigen affinity purified
Buffer Lyophilized from 1X PBS with 2% Trehalose
UniProt Q9H211
Applications Western Blot : 1-2ug/ml
Flow Cytometry : 1-3ug/million cells
Immunofluorescence : 5ug/ml
Direct ELISA : 0.1-0.5ug/ml
Limitations This CDT1 antibody is available for research use only.
Review this product on BioCompare and get a $20 Amazon gift card

Related Products

  • Applications : WB
    Reactivity : Human
    Rab Mono Image
  • Applications : WB, ELISA (peptide)
    Reactivity : Human
  • Applications : WB, Direct ELISA
    Reactivity : Human, Mouse

Description

CDT1 (Chromatin licensing and DNA replication factor 1) is a protein that in humans is encoded by the CDT1 gene. The protein encoded by this gene is involved in the formation of the pre-replication complex that is necessary for DNA replication. The encoded protein can bind geminin, which prevents replication and may function to prevent this protein from initiating replication at inappropriate origins. Phosphorylation of this protein by cyclin A-dependent kinases results in degradation of the protein.

Application Notes

Optimal dilution of the CDT1 antibody should be determined by the researcher.

Immunogen

Recombinant human protein (amino acids D508-L546) was used as the immunogen for the CDT1 antibody.

Storage

After reconstitution, the CDT1 antibody can be stored for up to one month at 4oC. For long-term, aliquot and store at -20oC. Avoid repeated freezing and thawing.

Cross
Bulk Quote Request Form
Name*:
Organization*:
Email*:
Phone Number*:
Catalog No.*:
Comments and Specifics(amount, formulation, etc.)*:
Validation code: Captchapackage Image


Can't read the image? click here to refresh.
    *required field

Your bulk quote request has been submitted successfully!

Please contact us if you have any questions.