• Tel: 858.663.9055
  • SeparatorEmail: info@nsjbio.com
  • Tel: 858.663.9055
  • Email: info@nsjbio.com
Home >> Antibodies >> CDK14 Antibody / Cyclin-dependent kinase 14 / PFTAIRE-1

CDK14 Antibody / Cyclin-dependent kinase 14 / PFTAIRE-1 (F54430)

  Catalog No Formulation Size Price (USD)  
Image F54430-0.4ML In 1X PBS, pH 7.4, with 0.09% sodium azide 0.4 ml 429
Image
F54430-0.08ML In 1X PBS, pH 7.4, with 0.09% sodium azide 0.08 ml 199
Bulk quote request
IHC testing of FFPE human testis tissue with CDK14 antibody. HIER: steam section in pH6 citrate buffer for 20 min and allow to cool prior to staining.
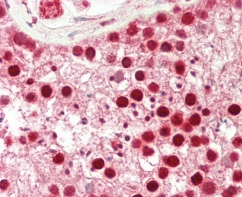
IHC testing of FFPE human brain tissue with CDK14 antibody. HIER: steam section in pH6 citrate buffer for 20 min and allow to cool prior to staining.
Western blot testing of human brain lysate with CDK14 antibody. Predicted molecular weight ~53 kDa.
Flow cytometry testing of human HepG2 cells with CDK14 antibody; Blue=isotype control, Green= CDK14 antibody.
Availability 1-3 business days
Species Reactivity Human
Format Purified
Clonality Polyclonal (rabbit origin)
Isotype Rabbit Ig
Purity SAS precipitation
UniProt O94921
Localization Nuclear, cytoplasmic
Applications Western Blot : 1:500-1:2000
Flow Cytometry : 1:25 (1x10e6 cells)
Immunohistochemistry (FFPE) : 1:25
Limitations This CDK14 antibody is available for research use only.
Review this product on BioCompare and get a $20 Amazon gift card

Related Products

Description

Serine/threonine-protein kinase involved in the control of the eukaryotic cell cycle, whose activity is controlled by an associated cyclin. Acts as a cell-cycle regulator of Wnt signaling pathway during G2/M phase by mediating the phosphorylation of LRP6 at 'Ser-1490', leading to the activation of the Wnt signaling pathway. Acts as a regulator of cell cycle progression and cell proliferation via its interaction with CCDN3. Phosphorylates RB1 in vitro, however the relevance of such result remains to be confirmed in vivo. May also play a role in meiosis, neuron differentiation and may indirectly act as a negative regulator of insulin-responsive glucose transport. [UniProt]

Application Notes

The stated application concentrations are suggested starting points. Titration of the CDK14 antibody may be required due to differences in protocols and secondary/substrate sensitivity.

Immunogen

A portion of amino acids 67-96 from the human protein was used as the immunogen for the CDK14 antibody.

Storage

Aliquot the CDK14 antibody and store frozen at -20oC or colder. Avoid repeated freeze-thaw cycles.

Cross
Bulk Quote Request Form
Name*:
Organization*:
Email*:
Phone Number*:
Catalog No.*:
Comments and Specifics(amount, formulation, etc.)*:
Validation code: Captchapackage Image


Can't read the image? click here to refresh.
    *required field

Your bulk quote request has been submitted successfully!

Please contact us if you have any questions.