• Tel: 858.663.9055
  • SeparatorEmail: info@nsjbio.com
  • Tel: 858.663.9055
  • Email: info@nsjbio.com
Home >> Antibodies >> CDC42 Antibody

CDC42 Antibody (R30435)

  Catalog No Formulation Size Price (USD)  
Image R30435 0.5mg/ml if reconstituted with 0.2ml sterile DI water 100 ug 439
Bulk quote request
Western blot testing of CDC42 antibody and Lane 1: ecombinant human protein 10ng; 2: 5ng; 3: 2.5ng
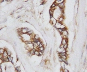
IHC-P: CDC42 antibody testing of human breast cancer tissue
Availability 1-3 business days
Species Reactivity Human, Bovin, Mouse, Rat
Format Antigen affinity purified
Clonality Polyclonal (rabbit origin)
Isotype Rabbit IgG
Purity Antigen affinity
Buffer Lyophilized from 1X PBS with 2.5% BSA and 0.025% sodium azide/thimerosal
UniProt P60953
Applications Western Blot : 0.5-1ug/ml
IHC (FFPE) : 0.5-1ug/ml
Limitations This CDC42 antibody is available for research use only.
Review this product on BioCompare and get a $20 Amazon gift card

Related Products

  • Applications : WB, IHC-P, FACS, Direct ELISA
    Reactivity : Human, Mouse, Rat
  • Applications : WB, IF, FACS, Direct ELISA
    Reactivity : Human, Mouse, Rat

Description

Cell division control protein 42 homolog also known as CDC42 is a protein involved in regulation of the cell cycle. In humans, CDC42 is encoded by the CDC42 gene. CDC42 is a small GTPase of the Rho-subfamily, which regulates signaling pathways that control diverse cellular functions including cell morphology, migration, endocytosis and cell cycle progression. This protein is highly similar to Saccharomyces cerevisiae Cdc 42, and is able to complement the yeast cdc42-1 mutant. The product of oncogene Dbl was reported to specifically catalyze the dissociation of GDP from this protein. This protein could regulate actin polymerization through its direct binding to Neural Wiskott-Aldrich syndrome protein(N-WASP), which subsequently activates Arp2/3 complex. Alternative splicing of this gene results in multiple transcript variants.

Application Notes

The stated application concentrations are suggested starting amounts. Titration of the CDC42 antibody may be required due to differences in protocols and secondary/substrate sensitivity.

Immunogen

An amino acid sequence from the middle region of human CDC42 (DDPSTIEKLAKNKQKPIT) was used as the immunogen for this CDC42 antibody (100% homologous in human, mouse and rat).

Storage

After reconstitution, the CDC42 antibody can be stored for up to one month at 4oC. For long-term, aliquot and store at -20oC. Avoid repeated freezing and thawing.

Cross
Bulk Quote Request Form
Name*:
Organization*:
Email*:
Phone Number*:
Catalog No.*:
Comments and Specifics(amount, formulation, etc.)*:
Validation code: Captchapackage Image


Can't read the image? click here to refresh.
    *required field

Your bulk quote request has been submitted successfully!

Please contact us if you have any questions.