• Tel: 858.663.9055
  • SeparatorEmail: info@nsjbio.com
  • Tel: 858.663.9055
  • Email: info@nsjbio.com
Home >> Antibodies >> CDC34 Antibody

CDC34 Antibody [clone CPTC-CDC34-2] (V7394)

  Catalog No Formulation Size Price (USD)  
Image V7394-100UG 0.2 mg/ml in 1X PBS with 0.1 mg/ml BSA (US sourced) and 0.05% sodium azide 100 ug 539
Image
V7394-20UG 0.2 mg/ml in 1X PBS with 0.1 mg/ml BSA (US sourced) and 0.05% sodium azide 20 ug 249
Image
V7394SAF-100UG 1 mg/ml in 1X PBS; BSA free, sodium azide free 100 ug 539
Image
V7394IHC-7ML Prediluted in 1X PBS with 0.1 mg/ml BSA (US sourced) and 0.05% sodium azide; *For IHC use only* 7 ml 539
Microvalidated
Bulk quote request
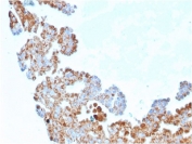
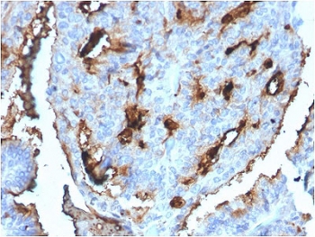
IHC staining of FFPE human breast carcinoma with CDC34 antibody (clone CPTC-CDC34-2). HIER: boil tissue sections in pH6, 10mM citrate buffer, for 10-20 min followed by cooling at RT for 20 min.
IHC staining of FFPE human breast carcinoma with CDC34 antibody (clone CPTC-CDC34-2). HIER: boil tissue sections in pH6, 10mM citrate buffer, for 10-20 min followed by cooling at RT for 20 min.
Analysis of HuProt(TM) microarray containing more than 19,000 full-length human proteins using CDC34 antibody (clone CPTC-CDC34-2). These results demonstrate the foremost specificity of the CPTC-CDC34-2 mAb.
Z- and S- score: The Z-score represents the strength of a signal that an antibody (in combination with a fluorescently-tagged anti-IgG secondary Ab) produces when binding to a particular protein on the HuProt(TM) array. Z-scores are described in units of standard deviations (SD's) above the mean value of all signals generated on that array. If the targets on the HuProt(TM) are arranged in descending order of the Z-score, the S-score is the difference (also in units of SD's) between the Z-scores. The S-score therefore represents the relative target specificity of an Ab to its intended target.
Western blot testing of human A549 and HEK293 cell lysate with CDC34 antibody.
SDS-PAGE analysis of purified, BSA-free CDC34 antibody (clone CPTC-CDC34-2) as confirmation of integrity and purity.
Availability 1-3 business days
Species Reactivity Human
Format Purified
Clonality Monoclonal (mouse origin)
Isotype Mouse IgG1, kappa
Clone Name CPTC-CDC34-2
Purity Protein G affinity chromatography
UniProt P49427
Localization Cytoplasmic, nuclear
Applications Immunohistochemistry (FFPE) : 0.5-1ug/ml for 30 min at RT
Western Blot : 2-4ug/ml
Limitations This CDC34 antibody is available for research use only.
Review this product on BioCompare and get a $20 Amazon gift card

Related Products

  • Applications : ELISA (peptide), IEM, IHC
    Reactivity : Human, Rat
    Pred. Reactivity : Mouse

Description

Cell cycle events are regulated by the sequential activation and deactivation of cyclin dependent kinases (Cdks) and by the proteolysis of cyclins. The cell division cycle (Cdc) genes are required at various points in the cell cycle. Cdc25A, Cdc25B and Cdc25C protein tyrosine phosphatases function as mitotic activators by dephosphorylating Cdc2 p34 on regulatory tyrosine residues. Cdc6 is the human homolog of Saccharomyces cerevisiae Cdc6, which is involved in the initiation of DNA replication. Cdc37 appears to facilitate Cdk4/cyclin D1 complex formation and has been shown to form a stable complex with HSP 90. Cdc34, Cdc27 and Cdc16 function as ubiquitinconjugating enzymes. Cdc34 is thought to be the structural and functional homolog of Saccharomyces cerevisiae Cdc34, which is essential for the G1 to S phase transition. Cdc16 and Cdc27 are components of the APC (anaphasepromoting complex) which ubiquitinates cyclin B, resulting in cyclin B/Cdk complex degradation.

Application Notes

Optimal dilution of the CDC34 antibody should be determined by the researcher.

1. The prediluted format is supplied in a dropper bottle and is optimized for use in IHC. After epitope retrieval step (if required), drip mAb solution onto the tissue section and incubate at RT for 30 min.

Immunogen

A full length recombinant human protein was used as the immunogen for the CDC34 antibody.

Storage

Store the CDC34 antibody at 2-8oC (with azide) or aliquot and store at -20oC or colder (without azide).

Cross
Bulk Quote Request Form
Name*:
Organization*:
Email*:
Phone Number*:
Catalog No.*:
Comments and Specifics(amount, formulation, etc.)*:
Validation code: Captchapackage Image


Can't read the image? click here to refresh.
    *required field

Your bulk quote request has been submitted successfully!

Please contact us if you have any questions.