• Tel: 858.663.9055
  • SeparatorEmail: info@nsjbio.com
  • Tel: 858.663.9055
  • Email: info@nsjbio.com
Home >> Antibodies >> CDC16 Antibody / Cell division cycle protein 16

CDC16 Antibody / Cell division cycle protein 16 [clone 31C86] (FY12198)

  Catalog No Formulation Size Price (USD)  
Image FY12198 Rabbit IgG in phosphate buffered saline, pH 7.4, 150mM NaCl, 0.02% sodium azide and 50% glycerol, 0.4-0.5mg/ml BSA 100 ul 439
Microvalidated Recrabbitmono
Bulk quote request
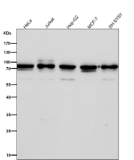
Western blot analysis of Apc6 / CDC16 expression in HepG2 cell lysate using CDC16 antibody.
All lanes use the CDC16 antibody at 1:4K dilution for 1 hour at room temperature.
Availability 2-3 weeks
Species Reactivity Human, Mouse, Rat
Format Liquid
Clonality Recombinant Rabbit Monoclonal
Isotype Rabbit IgG
Clone Name 31C86
Purity Affinity-chromatography
Buffer Rabbit IgG in phosphate buffered saline, pH 7.4, 150mM NaCl, 0.02% sodium azide and 50% glycerol, 0.4-0.5mg/ml BSA.
UniProt Q13042
Applications Western Blot : 1:500-1:2000
Immunoprecipitation : 1:50
Limitations This CDC16 antibody is available for research use only.
Review this product on BioCompare and get a $20 Amazon gift card

Description

CDC16 antibody detects cell division cycle protein 16, a core component of the anaphase-promoting complex/cyclosome (APC/C). CDC16 belongs to the tetratricopeptide repeat (TPR) family of proteins, characterized by structural motifs that mediate protein-protein interactions. Within the APC/C, CDC16 functions as a scaffolding subunit that contributes to complex assembly, stability, and substrate recognition. The APC/C is a multi-subunit E3 ubiquitin ligase that controls progression through mitosis by targeting key regulators such as securin and cyclins for ubiquitin-dependent degradation.

Research using CDC16 antibody has demonstrated the protein's critical role in cell cycle transitions. During metaphase-to-anaphase progression, the APC/C promotes chromosome segregation by degrading securin, releasing separase to cleave cohesin complexes. Later, degradation of mitotic cyclins ensures exit from mitosis and resetting of the cell cycle. CDC16, in concert with CDC27 and CDC23, forms a TPR subcomplex essential for binding co-activators such as CDC20 and CDH1, which provide substrate specificity.

CDC16 has been implicated in oncogenesis and developmental biology. Dysregulation of APC/C function leads to chromosomal instability, aneuploidy, and uncontrolled proliferation, all hallmarks of cancer. Elevated CDC16 expression has been reported in certain tumors, where it may contribute to aberrant APC/C activity. Conversely, insufficient CDC16 function impairs APC/C activity, causing mitotic arrest and apoptosis. In developmental systems, proper APC/C activity ensures correct cell division during embryogenesis and tissue differentiation.

Functional studies in model organisms highlight the conserved nature of CDC16. Orthologs in yeast, flies, and mammals show similar roles in APC/C regulation, underscoring evolutionary conservation. Conditional knockout studies in mice reveal embryonic lethality when CDC16 function is disrupted, confirming its essential role in proliferation.

Antibodies against CDC16 are validated for western blot, immunoprecipitation, immunohistochemistry, and immunofluorescence. Researchers use these reagents to analyze CDC16 expression, monitor APC/C complex integrity, and study ubiquitination dynamics in dividing cells. Clone-based antibodies provide reproducibility, distinguishing CDC16 from other TPR-containing proteins.

NSJ Bioreagents supplies this CDC16 antibody to support research in cell cycle regulation, cancer biology, and ubiquitin-proteasome system function.

Application Notes

Optimal dilution of the CDC16 antibody should be determined by the researcher.

Immunogen

A synthesized peptide derived from human Apc6 / CDC16 was used as the immunogen for the CDC16 antibody.

Storage

Store the CDC16 antibody at -20oC.

Cross
Bulk Quote Request Form
Name*:
Organization*:
Email*:
Phone Number*:
Catalog No.*:
Comments and Specifics(amount, formulation, etc.)*:
Validation code: Captchapackage Image


Can't read the image? click here to refresh.
    *required field

Your bulk quote request has been submitted successfully!

Please contact us if you have any questions.