• Tel: 858.663.9055
  • SeparatorEmail: info@nsjbio.com
  • Tel: 858.663.9055
  • Email: info@nsjbio.com
Home >> Antibodies >> CD99 Antibody

CD99 Antibody [clone CDLA99] (V7129)

  Catalog No Formulation Size Price (USD)  
Image V7129-100UG 0.2 mg/ml in 1X PBS with 0.1 mg/ml BSA (US sourced) and 0.05% sodium azide 100 ug 539
Image
V7129-20UG 0.2 mg/ml in 1X PBS with 0.1 mg/ml BSA (US sourced) and 0.05% sodium azide 20 ug 249
Image
V7129SAF-100UG 1 mg/ml in 1X PBS; BSA free, sodium azide free 100 ug 539
Image
V7129IHC-7ML Prediluted in 1X PBS with 0.1 mg/ml BSA (US sourced) and 0.05% sodium azide; *For IHC use only* 7 ml 539
Bulk quote request
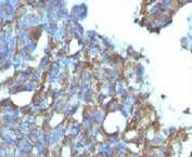
IHC testing of FFPE human Ewing's sarcoma and CD99 antibody (clone CDLA99). Staining of formalin-fixed tissues requires boiling tissue sections in pH 9 10mM Tris with 1mM EDTA for 10-20 min followed by cooling at RT for 20 min.
IHC testing of FFPE human ovarian carcinoma and CD99 antibody (clone CDLA99). Staining of formalin-fixed tissues requires boiling tissue sections in pH 9 10mM Tris with 1mM EDTA for 10-20 min followed by cooling at RT for 20 min.
Availability 1-3 business days
Species Reactivity Human
Format Purified
Clonality Monoclonal (mouse origin)
Isotype Mouse IgG1, kappa
Clone Name CDLA99
Purity Protein G affinity chromatography
UniProt P14209
Localization Cell surface
Applications Immunohistochemistry (FFPE) : 1-2ug/ml for 30 min at RT (1)
Prediluted IHC Only Format : incubate for 30 min at RT (2)
Limitations This CD99 antibody is available for research use only.
Review this product on BioCompare and get a $20 Amazon gift card

Related Products

Description

CD99 is a cell surface glycoprotein involved in leukocyte migration, T-cell adhesion, ganglioside GM1 and transmembrane protein transport, and T-cell death by a caspase-independent pathway. In addition, it may have the ability to rearrange the actin cytoskeleton and may also act as an oncosuppressor in osteosarcoma. Cyclophilin A binds to CD99 and may act as a signaling regulator of the protein. [Wiki]

Application Notes

Titering of the CD99 antibody may be required for optimal performance.

1. The prediluted format is supplied in a dropper bottle and is optimized for use in IHC. After epitope retrieval step (if required), drip mAb solution onto the tissue section and incubate at RT for 30 min.
3. Not suitable for rat samples testing.

Immunogen

Recombinant full-length human protein was used as the immunogen for the CD99 antibody.

Storage

Store the CD99 antibody at 2-8oC (with azide) or aliquot and store at -20oC or colder (without azide).

Cross
Bulk Quote Request Form
Name*:
Organization*:
Email*:
Phone Number*:
Catalog No.*:
Comments and Specifics(amount, formulation, etc.)*:
Validation code: Captchapackage Image


Can't read the image? click here to refresh.
    *required field

Your bulk quote request has been submitted successfully!

Please contact us if you have any questions.