• Tel: 858.663.9055
  • SeparatorEmail: info@nsjbio.com
  • Tel: 858.663.9055
  • Email: info@nsjbio.com
Home >> Antibodies >> CD91 Antibody / LRP1 / A2MR

CD91 Antibody / LRP1 / A2MR [clone LRP1/7152] (V4301)

  Catalog No Formulation Size Price (USD)  
Image V4301-100UG 0.2 mg/ml in 1X PBS with 0.1 mg/ml BSA (US sourced), 0.05% sodium azide 100 ug 539
Image
V4301-20UG 0.2 mg/ml in 1X PBS with 0.1 mg/ml BSA (US sourced), 0.05% sodium azide 20 ug 249
Image
V4301SAF-100UG 1 mg/ml in 1X PBS; BSA free, sodium azide free 100 ug 539
Bulk quote request
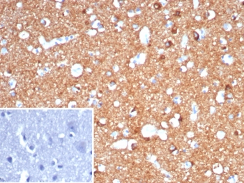
IHC staining of FFPE human brain tissue with CD91 / LRP1 antibody (clone LRP1/7152) Inset: PBS used in place of primary Ab (secondary Ab negative control). HIER: boil tissue sections in pH 9 10mM Tris with 1mM EDTA for 20 min and allow to cool before testing.
SDS-PAGE analysis of purified, BSA-free CD91 / LRP1 antibody (clone LRP1/7152) as confirmation of integrity and purity.
Availability 1-3 business days
Species Reactivity Human
Format Purified
Clonality Monoclonal (mouse origin)
Isotype Mouse IgG2, kappa
Clone Name LRP1/7152
Purity Protein A/G affinity
UniProt Q07954
Localization Cytoplasm, Nucleus, Cell surface
Applications Immunohistochemistry (FFPE) : 1-2ug/ml for 30 minutes at RT
Limitations This CD91 antibody is available for research use only.
Review this product on BioCompare and get a $20 Amazon gift card

Related Products

Description

Members of the LDL receptor gene family, including LDLR (low density lipoprotein receptor), LEP1 (low density lipoprotein related protein), megalin (also designated GP330), VLDLR (very low density lipoprotein receptor) and apoER2 are characterized by a cluster of cysteine-rich class A repeats, epidermal growth factor (EGF)-like repeats, YWTD repeats and an O-linked sugar domain. LRP1, also designated LRP and Alpha-2-Macroglobulin receptor, is an endocytic receptor that mediates the uptake of at least 15 ligands, including Alpha-2-Macroglobulin and apoE. LRP1 is cleaved into a membrane subunit and an extracellular subunit, which remain non-covalently associated. Proper folding and trafficking of LRP1 is facilitated by the receptor-associated protein (RAP), a molecular chaperone. The uptake of all known ligands through LRP1 can be blocked by RAP, which induces a conformational change in the receptor that renders it unable to bind ligands. LRP1, which is expressed in brain, liver and lung, is also implicated in Alzheimer s disease (AD), as the human LRP gene localizes to a potential AD locus on chromosome 12.

Application Notes

Optimal dilution of the CD91 antibody should be determined by the researcher.

Immunogen

A recombinant fragment of human LRP1 protein was used as the immunogen for the CD91 antibody.

Storage

Aliquot the CD91 antibody and store frozen at -20oC or colder. Avoid repeated freeze-thaw cycles.

Cross
Bulk Quote Request Form
Name*:
Organization*:
Email*:
Phone Number*:
Catalog No.*:
Comments and Specifics(amount, formulation, etc.)*:
Validation code: Captchapackage Image


Can't read the image? click here to refresh.
    *required field

Your bulk quote request has been submitted successfully!

Please contact us if you have any questions.