• Tel: 858.663.9055
  • SeparatorEmail: info@nsjbio.com
  • Tel: 858.663.9055
  • Email: info@nsjbio.com
Home >> Antibodies >> CD9 Antibody

CD9 Antibody [clone CD9/2343] (V3787)

  Catalog No Formulation Size Price (USD)  
Image V3787-100UG 0.2 mg/ml in 1X PBS with 0.1 mg/ml BSA (US sourced) and 0.05% sodium azide 100 ug 539
Image
V3787-20UG 0.2 mg/ml in 1X PBS with 0.1 mg/ml BSA (US sourced) and 0.05% sodium azide 20 ug 249
Image
V3787SAF-100UG 1 mg/ml in 1X PBS; BSA free, sodium azide free 100 ug 539
Bulk quote request
IHC staining of FFPE human skin with CD9 antibody (clone CD9/2343). HIER: boil tissue sections in pH6, 10mM citrate buffer, for 10-20 min followed by cooling at RT for 20 min.
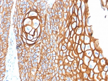
IHC staining of FFPE human cervix with CD9 antibody (clone CD9/2343). HIER: boil tissue sections in pH6, 10mM citrate buffer, for 10-20 min followed by cooling at RT for 20 min.
SDS-PAGE analysis of purified, BSA-free CD9 antibody (clone CD9/2343) as confirmation of integrity and purity.
FACS staining of bead-bound exosomes derived from human MCF7 cells: Gray = unstained, Orange = CF568 labeled CD63 antibody (clone CD9/2343).
Flow cytometry staining of human MCF7 cells with CD9 antibody (clone CD9/2343); Gray=unstained, Red= CD9 antibody.
Availability 1-3 business days
Species Reactivity Human
Format Purified
Clonality Monoclonal (mouse origin)
Isotype Mouse IgG1, kappa
Clone Name CD9/2343
Purity Protein G affinity chromatography
UniProt P21926
Localization Cell surface
Applications Immunohistochemistry (FFPE) : 1-2ug/ml for 30 min at RT
Flow Cytometry : 1-2ug/million cells
Limitations This CD9 antibody is available for research use only.
Review this product on BioCompare and get a $20 Amazon gift card

Related Products

  • Applications : IHC-P
    Reactivity : Human
  • Applications : IHC-P, FACS
    Reactivity : Human
  • Applications : ELISA, FACS
    Reactivity : Human
  • Applications : IHC-P
    Reactivity : Human
  • Applications : IHC-P, WB
    Reactivity : Human
  • Applications : IHC-P, WB
    Reactivity : Human
  • Applications : WB, FACS, ELISA
    Reactivity : Human
  • Applications : WB, IHC-P, IF, FACS
    Reactivity : Mouse, Rat
  • Applications : WB, IF, FACS
    Reactivity : Human
  • Applications : WB, IHC-P, FACS, Direct ELISA
    Reactivity : Human

Description

CD9 is a type IV transmembrane glycoprotein with four transmembrane domains. CD9 on pre-B cells may play a role in cell-cell adhesion. In addition, CD9 may play a role in signal transduction mediated by interaction with low molecular weight GTP binding proteins. CD9 is expressed on early B cells, eosinophils, basophils and activated T cells and is a major component of the platelet cell surface. It is also expressed on most non-T acute lymphoblastic leukemia cells and on some acute myeloid and chronic lymphoid leukemias.

Application Notes

Titering of the CD9 antibody may be required for optimal performance.

Immunogen

Recombinant full-length human protein was used as the immunogen for the CD9 antibody.

Storage

Store the CD9 antibody at 2-8oC (with azide) or aliquot and store at -20oC or colder (without azide).

Cross
Bulk Quote Request Form
Name*:
Organization*:
Email*:
Phone Number*:
Catalog No.*:
Comments and Specifics(amount, formulation, etc.)*:
Validation code: Captchapackage Image


Can't read the image? click here to refresh.
    *required field

Your bulk quote request has been submitted successfully!

Please contact us if you have any questions.