• Tel: 858.663.9055
  • SeparatorEmail: info@nsjbio.com
  • Tel: 858.663.9055
  • Email: info@nsjbio.com
Home >> Antibodies >> CD8a Antibody

CD8a Antibody [clone SPM548] (V2386)

  Catalog No Formulation Size Price (USD)  
Image V2386-100UG 0.2 mg/ml in 1X PBS with 0.1 mg/ml BSA (US sourced) and 0.05% sodium azide 100 ug 539
Image
V2386-20UG 0.2 mg/ml in 1X PBS with 0.1 mg/ml BSA (US sourced) and 0.05% sodium azide 20 ug 249
Image
V2386SAF-100UG 1 mg/ml in 1X PBS; BSA free, sodium azide free 100 ug 539
Image
V2386IHC-7ML Prediluted in 1X PBS with 0.1 mg/ml BSA (US sourced) and 0.05% sodium azide; *For IHC use only* 7 ml 539
Bulk quote request
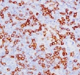
IHC testing of CD8a antibody (clone SPM548) and FFPE human tonsil tissue.
SDS-PAGE analysis of purified, BSA-free CD8a antibody (clone SPM548) as confirmation of integrity and purity.
Availability 1-3 business days
Species Reactivity Human
Format Purified
Clonality Monoclonal (mouse origin)
Isotype Mouse IgG1, kappa
Clone Name SPM548
Purity Protein G affinity chromatography
UniProt P01732
Localization Cell surface
Applications Immunohistochemistry (FFPE) : 1-2ug/ml for 30 min at RT
Limitations This CD8a antibody is available for research use only.
Review this product on BioCompare and get a $20 Amazon gift card

Related Products

Description

CD8 molecule consists of two chains, termed alpha and beta chain, which are expressed as a disulphide-linked heterodimer or homodimer. CD8 is expressed on T cell subset (cytotoxic/suppressor T cells), thymocytes and NK cells.

Application Notes

Variations in protocols, secondaries and substrates may require the CD8a antibody to be titered up or down for optimal performance.

1. Staining of formalin-fixed tissues requires boiling tissue sections in pH 9 10mM Tris with 1mM EDTA for 10-20 min followed by cooling at RT for 20 minutes.2. The prediluted format is supplied in a dropper bottle and is optimized for use in IHC. After epitope retrieval step (if required), drip mAb solution onto the tissue section and incubate at RT for 30 min.

Immunogen

Human CD8 recombinant protein was used as immunogen for this CD8a antibody.

Storage

CD8a antibody with azide can be stored at 2-8oC. The azide-free format should be aliquoted and stored at -20oC or colder.

Cross
Bulk Quote Request Form
Name*:
Organization*:
Email*:
Phone Number*:
Catalog No.*:
Comments and Specifics(amount, formulation, etc.)*:
Validation code: Captchapackage Image


Can't read the image? click here to refresh.
    *required field

Your bulk quote request has been submitted successfully!

Please contact us if you have any questions.