• Tel: 858.663.9055
  • SeparatorEmail: info@nsjbio.com
  • Tel: 858.663.9055
  • Email: info@nsjbio.com
Home >> Antibodies >> CD8a Antibody

CD8a Antibody [clone RM397] (R20413)

  Catalog No Formulation Size Price (USD)  
Image R20413-0.1ML Antibody in PBS with 50% glycerol, 1% BSA and 0.09% sodium azide 100 ul 429
Microvalidated Recrabbitmono
Bulk quote request
Western blot testing of human T-cell lysate with recombinant CD8a antibody at 1:100 dilution. Expected molecular weight: 26-40 kDa depending on glycosylation level.
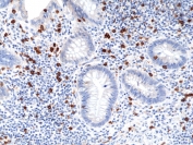
IHC staining of FFPE human appendix tissue with recombinant CD8a antibody at 1:100.
Availability 1-3 business days
Species Reactivity Human
Format Purified
Clonality Recombinant Rabbit Monoclonal
Isotype Rabbit IgG
Clone Name RM397
Purity Protein A purified from animal origin-free supernatant
UniProt P01732
Localization Cell surface
Applications Immunohistochemistry (FFPE) : 1:100-1:200
Western Blot : 1:100-1:200
Limitations This recombinant CD8a antibody is available for research use only.
Review this product on BioCompare and get a $20 Amazon gift card

Related Products

Description

This antibody reacts to the alpha chain of human CD8.

Application Notes

The stated application concentrations are suggested starting points. Titration of the recombinant CD8a antibody may be required due to differences in protocols and secondary/substrate sensitivity.

Immunogen

A peptide corresponding to human CD8a was used as the immunogen for the recombinant CD8a antibody.

Storage

Store the recombinant CD8a antibody at -20oC.

Cross
Bulk Quote Request Form
Name*:
Organization*:
Email*:
Phone Number*:
Catalog No.*:
Comments and Specifics(amount, formulation, etc.)*:
Validation code: Captchapackage Image


Can't read the image? click here to refresh.
    *required field

Your bulk quote request has been submitted successfully!

Please contact us if you have any questions.