• Tel: 858.663.9055
  • SeparatorEmail: info@nsjbio.com
  • Tel: 858.663.9055
  • Email: info@nsjbio.com
Home >> Antibodies >> CD80 Antibody

CD80 Antibody [clone C80/3544] (V8522)

  Catalog No Formulation Size Price (USD)  
Image V8522-100UG 0.2 mg/ml in 1X PBS with 0.1 mg/ml BSA (US sourced) and 0.05% sodium azide 100 ug 539
Image
V8522-20UG 0.2 mg/ml in 1X PBS with 0.1 mg/ml BSA (US sourced) and 0.05% sodium azide 20 ug 249
Image
V8522SAF-100UG 1 mg/ml in 1X PBS; BSA free, sodium azide free 100 ug 539
Microvalidated
Bulk quote request
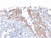
IHC staining of FFPE human tonsil with CD80 antibody (clone C80/3544). HIER: boil tissue sections in pH 9 10mM Tris with 1mM EDTA for 20 min and allow to cool before testing.
IHC staining of FFPE human tonsil with CD80 antibody (clone C80/3544). HIER: boil tissue sections in pH 9 10mM Tris with 1mM EDTA for 20 min and allow to cool before testing.
Analysis of HuProt(TM) microarray containing more than 19,000 full-length human proteins using CD80 antibody (clone C80/3544). These results demonstrate the foremost specificity of the C80/3544 mAb. Z- and S- score: The Z-score represents the strength of a signal that an antibody (in combination with a fluorescently-tagged anti-IgG secondary Ab) produces when binding to a particular protein on the HuProt(TM) array. Z-scores are described in units of standard deviations (SD's) above the mean value of all signals generated on that array. If the targets on the HuProt(TM) are arranged in descending order of the Z-score, the S-score is the difference (also in units of SD's) between the Z-scores. The S-score therefore represents the relative target specificity of an Ab to its intended target.
Availability 1-3 business days
Species Reactivity Human
Format Purified
Clonality Monoclonal (mouse origin)
Isotype Mouse IgG2b, kappa
Clone Name C80/3544
Purity Protein G affinity chromatography
UniProt P33681
Localization Cytoplasmic, membranous
Applications ELISA : order Ab without BSA for coating
Immunohistochemistry (FFPE) : 2-4ug/ml for 30 minutes at RT
Limitations This CD80 antibody is available for research use only.
Review this product on BioCompare and get a $20 Amazon gift card

Related Products

  • Applications : ELISA
    Reactivity : Human
    Microvalidated
  • Applications : ELISA
    Reactivity : Human
    Microvalidated
  • Applications : ELISA
    Reactivity : Human
    Microvalidated
  • Applications : ELISA
    Reactivity : Human
  • Applications : WB
    Reactivity : Human
  • Applications : WB
    Reactivity : Rat
  • Applications : WB, FACS, ELISA
    Reactivity : Human
  • Applications : WB, IHC-P, ELISA (peptide)
    Reactivity : Human
  • Applications : IHC-P, WB, IF, ELISA
    Reactivity : Human, Mouse, Rat
  • Applications : WB, FACS, Direct ELISA
    Reactivity : Human, Mouse

Description

T cell proliferation and lymphokine production are triggered by occupation of the TCR by antigen, followed by a costimulatory signal that is delivered by a ligand expressed on antigen presenting cells. The B7-related cell surface proteins CD80 (B7-1) and CD86 (B7-2) are expressed on antigen presenting cells bind the homologous T cell receptors CTLA-4 (cytotoxic T lymphocyte-associated protein-4) and CD28 and trigger costimulatory signals for optimal T cell activation. CTLA-4 shares 31% overall amino acid identity with CD28 and it has been proposed that CD28 and CTLA-4 are functionally redundant. SLAM is a novel receptor on T cells that, when engaged, potentiates T cell expansion in a CD28-independent manner. B7, also designated BB1, is another ligand or counter receptor for CD28 and CTLA-4 that is expressed on the antigen-presenting cell.

Application Notes

Optimal dilution of the CD80 antibody should be determined by the researcher.

Immunogen

A portion of amino acids 35-142 from the human protein was used as the immunogen for the CD80 antibody.

Storage

Store the CD80 antibody at 2-8oC (with azide) or aliquot and store at -20oC or colder (without azide).

Cross
Bulk Quote Request Form
Name*:
Organization*:
Email*:
Phone Number*:
Catalog No.*:
Comments and Specifics(amount, formulation, etc.)*:
Validation code: Captchapackage Image


Can't read the image? click here to refresh.
    *required field

Your bulk quote request has been submitted successfully!

Please contact us if you have any questions.