• Tel: 858.663.9055
  • SeparatorEmail: info@nsjbio.com
  • Tel: 858.663.9055
  • Email: info@nsjbio.com
Home >> Antibodies >> CD8 Antibody (alpha)

CD8 Antibody (alpha) [clone C8/144B] (V2383)

  Catalog No Formulation Size Price (USD)  
Image V2383-100UG 0.2 mg/ml in 1X PBS with 0.1 mg/ml BSA (US sourced) and 0.05% sodium azide 100 ug 539
Image
V2383-20UG 0.2 mg/ml in 1X PBS with 0.1 mg/ml BSA (US sourced) and 0.05% sodium azide 20 ug 249
Image
V2383SAF-100UG 1 mg/ml in 1X PBS; BSA free, sodium azide free 100 ug 539
Image
V2383IHC-7ML Prediluted in 1X PBS with 0.1 mg/ml BSA (US sourced) and 0.05% sodium azide; *For IHC use only* 7 ml 539
Bulk quote request
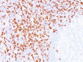
IHC testing of FFPE tonsil tissue with CD8 antibody (clone C8/144B).
IHC testing of FFPE tonsil tissue with CD8 antibody (clone C8/144B).
SDS-PAGE analysis of purified, BSA-free CD8 antibody (clone C8/144B) as confirmation of integrity and purity.
Availability 1-3 business days
Species Reactivity Human
Format Purified
Clonality Monoclonal (mouse origin)
Isotype Mouse IgG1, kappa
Clone Name C8/144B
Purity Protein G affinity chromatography
Buffer 1X PBS, pH 7.4
UniProt P01732
Localization Cell surface
Applications Flow Cytometry : 0.5-1ug/10^6 cells
Immunofluorescence : 0.5-1ug/ml
Immunohistochemistry (FFPE) : 1-2ug/ml for 30 min at RT
Limitations This CD8 antibody is available for research use only.
Review this product on BioCompare and get a $20 Amazon gift card

Related Products

Description

CD8 is a cell surface receptor expressed either as a heterodimer with the beta chain or as a homodimer. A majority of thymocytes and a subpopulation of mature Tcells and NK cells express CD8a. It binds to MHC class 1 and through its association with protein tyrosine kinase p56lck plays a role in Tcell development and activation of mature Tcells. For mature Tcells, CD8 and 4 are mutually exclusive, so antibody to CD8 is generally used in conjunction with antibody to CD4. CD8a antibody is a useful marker for distinguishing helper/inducer T-lymphocytes, and most peripheral Tcell lymphomas are CD4+/CD8-. Anaplastic large cell lymphoma is usually CD4+/CD8-, and in T-lymphoblastic lymphoma/leukemia, they are often co-expressed. It is also found in littoral cell angioma of the spleen.

Application Notes

The concentration stated for each application is a general starting point. Variations in protocols, secondaries and substrates may require the CD8 antibody to be titered up or down for optimal performance.

1. Staining of formalin-fixed tissues requires boiling tissue sections in 10mM citrate buffer, pH 6.0, for 10-20 min followed by cooling at RT for 20 minutes.
2. The prediluted format is supplied in a dropper bottle and is optimized for use in IHC. After epitope retrieval step (if required), drip mAb solution onto the tissue section and incubate at RT for 30 min.

Immunogen

A 13 amino acid peptide from the C-terminal cytoplasmic domain of the alpha chain was used as immunogen for this CD8 antibody.

Storage

CD8 antibody with azide can be stored at 2-8oC. The azide-free format should be aliquoted and stored at -20oC or colder.

Cross
Bulk Quote Request Form
Name*:
Organization*:
Email*:
Phone Number*:
Catalog No.*:
Comments and Specifics(amount, formulation, etc.)*:
Validation code: Captchapackage Image


Can't read the image? click here to refresh.
    *required field

Your bulk quote request has been submitted successfully!

Please contact us if you have any questions.