• Tel: 858.663.9055
  • SeparatorEmail: info@nsjbio.com
  • Tel: 858.663.9055
  • Email: info@nsjbio.com
Home >> Antibodies >> CD79b Antibody

CD79b Antibody [clone CDLA79b-1] (V3810)

  Catalog No Formulation Size Price (USD)  
Image V3810-100UG 0.2 mg/ml in 1X PBS with 0.1 mg/ml BSA (US sourced) and 0.05% sodium azide 100 ug 539
Image
V3810-20UG 0.2 mg/ml in 1X PBS with 0.1 mg/ml BSA (US sourced) and 0.05% sodium azide 20 ug 249
Image
V3810SAF-100UG 1 mg/ml in 1X PBS; BSA free, sodium azide free 100 ug 539
Bulk quote request
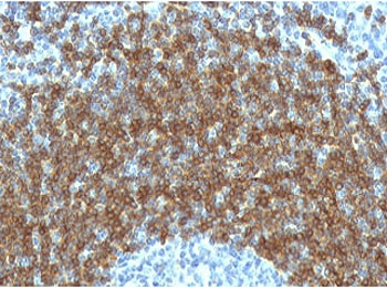
IHC testing of FFPE human tonsil tissue with CD79b antibody (clone CDLA79b-1). HIER: boil tissue sections in pH6, 10mM citrate buffer, for 10-20 min followed by cooling at RT for 20 min.
Availability 1-3 business days
Species Reactivity Human
Format Purified
Clonality Monoclonal (mouse origin)
Isotype Mouse IgG2b, kappa
Clone Name CDLA79b-1
Purity Protein G affinity chromatography
UniProt P40259
Localization Cell surface
Applications IHC (FFPE) : 1-2ug/ml for 30 min at RT
Limitations This CD79b antibody is available for research use only.
Review this product on BioCompare and get a $20 Amazon gift card

Related Products

Description

Required in cooperation with CD79A for initiation of the signal transduction cascade activated by the B-cell antigen receptor complex (BCR) which leads to internalization of the complex, trafficking to late endosomes and antigen presentation. Enhances phosphorylation of CD79A, possibly by recruiting kinases which phosphorylate CD79A or by recruiting proteins which bind to CD79A and protect it from dephosphorylation. [UniProt]

Application Notes

The stated application concentrations are suggested starting points. Titration of the CD79b antibody may be required due to differences in protocols and secondary/substrate sensitivity.

Immunogen

A portion of amino acids 29-159 was used as the immunogen for the CD79b antibody.

Storage

Store the CD79b antibody at 2-8oC (with azide) or aliquot and store at -20oC or colder (without azide).

Cross
Bulk Quote Request Form
Name*:
Organization*:
Email*:
Phone Number*:
Catalog No.*:
Comments and Specifics(amount, formulation, etc.)*:
Validation code: Captchapackage Image


Can't read the image? click here to refresh.
    *required field

Your bulk quote request has been submitted successfully!

Please contact us if you have any questions.