• Tel: 858.663.9055
  • SeparatorEmail: info@nsjbio.com
  • Tel: 858.663.9055
  • Email: info@nsjbio.com
Home >> Antibodies >> CD79b Antibody

CD79b Antibody [clone CD79b/4960] (V4533)

  Catalog No Formulation Size Price (USD)  
Image V4533-100UG 0.2 mg/ml in 1X PBS with 0.1 mg/ml BSA (US sourced), 0.05% sodium azide 100 ug 539
Image
V4533-20UG 0.2 mg/ml in 1X PBS with 0.1 mg/ml BSA (US sourced), 0.05% sodium azide 20 ug 249
Image
V4533SAF-100UG 1 mg/ml in 1X PBS; BSA free, sodium azide free 100 ug 539
Bulk quote request
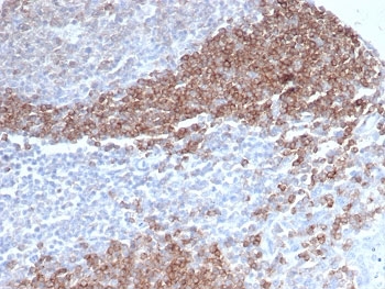
IHC staining of FFPE human tonsil tissue with CD79b antibody (clone CD79b/4960). HIER: boil tissue sections in pH 9 10mM Tris with 1mM EDTA for 20 min and allow to cool before testing.
SDS-PAGE analysis of purified, BSA-free CD79b antibody (clone CD79b/4960) as confirmation of integrity and purity.
Availability 1-3 business days
Species Reactivity Human
Format Purified
Clonality Monoclonal (mouse origin)
Isotype Mouse IgG1, kappa
Clone Name CD79b/4960
Purity Protein A/G affinity
UniProt P40259
Localization Cell Surface
Applications ELISA : 2-4mg/ml for coating (order BSA-free format)
Immunohistochemistry (FFPE) : 1-2ug/ml for 30 min at RT
Limitations This CD79b antibody is available for research use only.
Review this product on BioCompare and get a $20 Amazon gift card

Related Products

Description

CD79 (also designated Ig Alpha/Ig beta) is a heterodimer composed of Alpha chains, designated CD79A or MB-1, and beta chains, designated CD79B or B29. The B cell antigen receptor complex (BCR) is formed by the association of CD79 with a membrane immunoglobulin, such as IgM or IgD. The membrane immunoglobulins IgM and IgD achieve surface expression and antigen presentation function in response to CD79 association. The cytoplasmic tails of both CD79A and CD79B contain an ITAM (immuno-receptor tyrosine-based activation) motif, which acts to initiate the BCR signaling reactions by binding to and activating tyrosine kinases.

Application Notes

Optimal dilution of the CD79b antibody should be determined by the researcher.

Immunogen

A recombinant fragment of human CD79b protein was used as the immunogen for the CD79b antibody.

Storage

Aliquot the CD79b antibody and store frozen at -20oC or colder. Avoid repeated freeze-thaw cycles.

Cross
Bulk Quote Request Form
Name*:
Organization*:
Email*:
Phone Number*:
Catalog No.*:
Comments and Specifics(amount, formulation, etc.)*:
Validation code: Captchapackage Image


Can't read the image? click here to refresh.
    *required field

Your bulk quote request has been submitted successfully!

Please contact us if you have any questions.