• Tel: 858.663.9055
  • SeparatorEmail: info@nsjbio.com
  • Tel: 858.663.9055
  • Email: info@nsjbio.com
Home >> Antibodies >> CD79b Antibody

CD79b Antibody [clone B29/123] (V8265)

  Catalog No Formulation Size Price (USD)  
Image V8265-100UG 0.2 mg/ml in 1X PBS with 0.1 mg/ml BSA (US sourced) and 0.05% sodium azide 100 ug 539
Image
V8265-20UG 0.2 mg/ml in 1X PBS with 0.1 mg/ml BSA (US sourced) and 0.05% sodium azide 20 ug 249
Image
V8265SAF-100UG 1 mg/ml in 1X PBS; BSA free, sodium azide free 100 ug 539
Bulk quote request
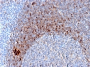
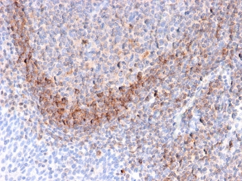
IHC staining of FFPE human tonsil tissue with CD79b antibody (clone B29/123). HIER: boil tissue sections in pH 9 10mM Tris with 1mM EDTA for 10-20 min followed by cooling at RT for 20 min.
IHC staining of FFPE human tonsil tissue with CD79b antibody (clone B29/123). HIER: boil tissue sections in pH 9 10mM Tris with 1mM EDTA for 10-20 min followed by cooling at RT for 20 min.
SDS-PAGE analysis of purified, BSA-free CD79b antibody (clone B29/123) as confirmation of integrity and purity.
Availability 1-3 business days
Species Reactivity Human
Format Purified
Clonality Monoclonal (mouse origin)
Isotype Mouse IgG2b, kappa
Clone Name B29/123
Purity Protein G affinity chromatography
UniProt P40259
Localization Cell surface
Applications Western Blot : 1-2ug/ml
Immunohistochemistry (FFPE) : 1-2ug/ml
Limitations This CD79b antibody is available for research use only.
Review this product on BioCompare and get a $20 Amazon gift card

Related Products

Description

CD79 (also designated Ig chains, designated CD79B or B29. The B cell antigen receptor complex (BCR) is formed by the association of CD79 with a membrane immunoglobulin, such as IgM or IgD. The membrane immunoglobulins IgM and IgD achieve surface expression and antigen presentation function in response to CD79 association. The cytoplasmic tails of both CD79A and CD79B contain an ITAM (immuno-receptor tyrosine-based activation) motif, which acts to initiate the BCR signaling reactions by binding to and activating tyrosine kinases.

Application Notes

Optimal dilution of the CD79b antibody should be determined by the researcher.

Immunogen

The C-terminal portion of the human protein was used as the immunogen for this CD79b antibody.

Storage

Store the CD79b antibody at 2-8oC (with azide) or aliquot and store at -20oC or colder (without azide).

Cross
Bulk Quote Request Form
Name*:
Organization*:
Email*:
Phone Number*:
Catalog No.*:
Comments and Specifics(amount, formulation, etc.)*:
Validation code: Captchapackage Image


Can't read the image? click here to refresh.
    *required field

Your bulk quote request has been submitted successfully!

Please contact us if you have any questions.