• Tel: 858.663.9055
  • SeparatorEmail: info@nsjbio.com
  • Tel: 858.663.9055
  • Email: info@nsjbio.com
Home >> Antibodies >> CD79b Antibody

CD79b Antibody [clone 6H11] (RQ5654)

  Catalog No Formulation Size Price (USD)  
Image RQ5654 0.5mg/ml if reconstituted with 0.2ml sterile DI water 100 ug 439
Bulk quote request
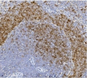
IHC staining of FFPE human tonsil with CD79b antibody. HIER: boil tissue sections in pH8 EDTA for 20 min and allow to cool before testing.
IHC staining of FFPE rat spleen with CD79b antibody. HIER: boil tissue sections in pH8 EDTA for 20 min and allow to cool before testing.
Western blot testing of human Raji cell lysate with CD79b antibody. Predicted molecular weight: 26~39 kDa.
Availability 1-3 business days
Species Reactivity Human, Rat
Format Antigen affinity purified
Clonality Monoclonal
Isotype Mouse IgG1
Clone Name 6H11
Purity Affinity purified
Buffer Lyophilized from 1X PBS with 2% Trehalose and 0.025% sodium azide
UniProt P40259
Applications Western Blot : 0.5-1ug/ml
Immunohistochemistry : 1-2ug/ml
Limitations This CD79b antibody is available for research use only.
Review this product on BioCompare and get a $20 Amazon gift card

Related Products

Description

CD79b molecule, immunoglobulin-associated beta, also known as CD79B (Cluster of Differentiation 79B), is a human gene. By fluorescence in situ hybridization, It is mapped to 17q23.3. The CD79B protein together with the related CD79A protein, forms a dimer associated with membrane bound immunoglobulin in B-cells, thus forming the B-cell antigen receptor (BCR) which is a multimeric complex that includes the antigen-specific component, surface immunoglobulin (Ig). CD79b also can enhances phosphorylation of CD79A, possibly by recruiting kinases which phosphorylate CD79A or by recruiting proteins which bind to CD79A and protect it from dephosphorylation.

Application Notes

Optimal dilution of the CD79b antibody should be determined by the researcher.

Immunogen

Recombinant human protein (amino acids A29-E229) was used as the immunogen for the CD79b antibody.

Storage

After reconstitution, the CD79b antibody can be stored for up to one month at 4oC. For long-term, aliquot and store at -20oC. Avoid repeated freezing and thawing.

Cross
Bulk Quote Request Form
Name*:
Organization*:
Email*:
Phone Number*:
Catalog No.*:
Comments and Specifics(amount, formulation, etc.)*:
Validation code: Captchapackage Image


Can't read the image? click here to refresh.
    *required field

Your bulk quote request has been submitted successfully!

Please contact us if you have any questions.