• Tel: 858.663.9055
  • SeparatorEmail: info@nsjbio.com
  • Tel: 858.663.9055
  • Email: info@nsjbio.com
Home >> Antibodies >> CD73 Antibody

CD73 Antibody [clone NT5E/2646] (V7588BTN)

  Catalog No Formulation Size Price (USD)  
Image V7588BTN 0.1 mg/ml with 0.1 mg/ml BSA (US sourced), 0.05% sodium azide 500 ul 539
Microvalidated
Bulk quote request
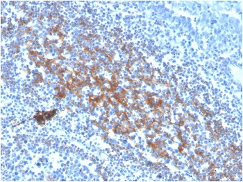
IHC staining of FFPE human tonsil tissue with biotinylated CD73 antibody (clone NT5E/2646). HIER: boil tissue sections in pH9 10mM Tris with 1mM EDTA for 10-20 min and allow to cool before testing.
IHC staining of FFPE human tonsil tissue with biotinylated CD73 antibody (clone NT5E/2646). HIER: boil tissue sections in pH9 10mM Tris with 1mM EDTA for 10-20 min and allow to cool before testing.
Analysis of HuProt(TM) microarray containing more than 19,000 full-length human proteins using CD73 antibody (clone NT5E/2646). These results demonstrate the foremost specificity of the NT5E/2646 mAb. Z- and S- score: The Z-score represents the strength of a signal that an antibody (in combination with a fluorescently-tagged anti-IgG secondary Ab) produces when binding to a particular protein on the HuProt(TM) array. Z-scores are described in units of standard deviations (SD's) above the mean value of all signals generated on that array. If the targets on the HuProt(TM) are arranged in descending order of the Z-score, the S-score is the difference (also in units of SD's) between the Z-scores. The S-score therefore represents the relative target specificity of an Ab to its intended target.
SDS-PAGE analysis of purified, BSA-free CD73 antibody (clone NT5E/2646) as confirmation of integrity and purity.
Flow cytometry testing of human U-87 MG cells with unlabeled CD73 antibody (clone NT5E/2646); Red=isotype control, Blue= CD73 antibody.
Immunofluorescence staining of human U-87 MG cells with unlabeled CD73 antibody (green, clone NT5E/2646) and Reddot nuclear stain (red).
Availability 1-3 business days
Species Reactivity Human
Format Biotin Conjugate
Clonality Monoclonal (mouse origin)
Isotype Mouse IgG1, kappa
Clone Name NT5E/2646
Purity Protein G affinity chromatography
UniProt P21589
Localization Cell surface
Applications ELISA : order Ab without BSA for coating
Flow Cytometry : 2-4ug/million cells in 0.1ml
Immunofluorescence : 2-4ug/ml
Western Blot : 2-4ug/ml
Immunohistochemistry (FFPE) : 2-4ug/ml for 30 minutes at RT
Limitations This CD73 antibody is available for research use only.
Review this product on BioCompare and get a $20 Amazon gift card

Related Products

Description

CD73 is a membrane-bound extracellular enzyme overexpressed in several cancer types. Its expression has been linked to poor prognosis in melanoma, colorectal, gastric, triple negative breast cancer, and to a pro-metastatic phenotype in prostate cancer. Together with CD39, it plays a major role in promoting immunosuppression through the pathway degrading adenosine triphosphate (ATP) into adenosine. Within the tumor microenvironment, ATP promotes immune cell-mediated killing of cancer cells. In contrast, adenosine accumulation causes immune suppression, dysregulation of immune cell infiltrates and stimulates angiogenesis resulting in tumor spreading. CD73 is active on the last step of the degradation pathway, where it is the enzyme that actually degrades AMP into adenosine. CD73-blockade promotes anti-tumor immunity by reducing adenosine accumulation. Accordingly, anti-CD73 mAbs stimulate anti-tumor immunity and reduce tumor metastasis in mouse tumor models, and could enhance the efficacy of treatment with anti-PD1 or anti-CTLA4 antibodies.

Application Notes

Optimal dilution of the CD73 antibody should be determined by the researcher.

Immunogen

Recombinant full-length human NT5E protein was used as the immunogen for the CD73 antibody.

Storage

Store the CD73 antibody at 2-8oC (up to one month) or aliquot and store at -20oC (longer term).

Cross
Bulk Quote Request Form
Name*:
Organization*:
Email*:
Phone Number*:
Catalog No.*:
Comments and Specifics(amount, formulation, etc.)*:
Validation code: Captchapackage Image


Can't read the image? click here to refresh.
    *required field

Your bulk quote request has been submitted successfully!

Please contact us if you have any questions.