• Tel: 858.663.9055
  • SeparatorEmail: info@nsjbio.com
  • Tel: 858.663.9055
  • Email: info@nsjbio.com
Home >> Antibodies >> CD73 Antibody / NT5E

CD73 Antibody / NT5E [clone NT5E/4679] (V5176)

  Catalog No Formulation Size Price (USD)  
Image V5176-100UG 0.2 mg/ml in 1X PBS with 0.1 mg/ml BSA (US sourced), 0.05% sodium azide 100 ug 539
Image
V5176-20UG 0.2 mg/ml in 1X PBS with 0.1 mg/ml BSA (US sourced), 0.05% sodium azide 20 ug 249
Image
V5176SAF-100UG 1 mg/ml in 1X PBS; BSA free, sodium azide free 100 ug 539
Microvalidated
Bulk quote request
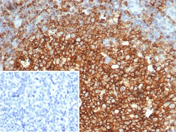
IHC staining of FFPE human tonsil tissue with CD73 antibody (clone NT5E/4679). Inset: PBS used in place of primary Ab (secondary Ab negative control). HIER: boil tissue sections in pH 9 10mM Tris with 1mM EDTA for 20 min and allow to cool before testing.
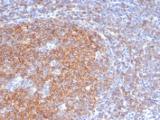
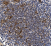
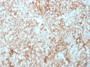
IHC staining of FFPE human tonsil tissue with CD73 antibody (clone NT5E/4679). HIER: boil tissue sections in pH 9 10mM Tris with 1mM EDTA for 20 min and allow to cool before testing.
Analysis of a HuProt(TM) microarray containing more than 19,000 full-length human proteins using CD73 antibody (clone CD73/4679). Z- and S- Score: The Z-score represents the strength of a signal that a monoclonal antibody (in combination with a fluorescently-tagged anti-IgG secondary antibody) produces when binding to a particular protein on the HuProt(TM) array. Z-scores are described in units of standard deviations (SD's) above the mean value of all signals generated on that array. If targets on HuProt(TM) are arranged in descending order of the Z-score, the S-score is the difference (also in units of SD's) between the Z-score. S-score therefore represents the relative target specificity of a mAb to its intended target. A mAb is considered to specific to its intended target, if the mAb has an S-score of at least 2.5. For example, if a mAb binds to protein X with a Z-score of 43 and to protein Y with a Z-score of 14, then the S-score for the binding of that mAb to protein X is equal to 29.
SDS-PAGE analysis of purified, BSA-free CD73 antibody (clone NT5E/4679) as confirmation of integrity and purity.
Availability 1-3 business days
Species Reactivity Human
Format Purified
Clonality Monoclonal (mouse origin)
Isotype Mouse IgG1, kappa
Clone Name NT5E/4679
Purity Protein A/G affinity
UniProt P21589
Localization Cell surface
Applications Immunohistochemistry (FFPE) : 1-2ug/ml for 30 min at RT
Limitations This CD73 antibody is available for research use only.
Review this product on BioCompare and get a $20 Amazon gift card

Related Products

Description

CD73 is a membrane-bound extracellular enzyme overexpressed in several cancer types. Its expression has been linked to poor prognosis in melanoma, colorectal, gastric, triple negative breast cancer, and to a pro-metastatic phenotype in prostate cancer. Together with CD39, it plays a major role in promoting immunosuppression through the pathway degrading adenosine triphosphate (ATP) into adenosine. Within the tumor microenvironment, ATP promotes immune cell-mediated killing of cancer cells. In contrast, adenosine accumulation causes immune suppression, dysregulation of immune cell infiltrates and stimulates angiogenesis resulting in tumor spreading. CD73 is active on the last step of the degradation pathway, where it is the enzyme that actually degrades AMP into adenosine. CD73-blockade promotes anti-tumor immunity by reducing adenosine accumulation. Accordingly, anti-CD73 mAbs stimulate anti-tumor immunity and reduce tumor metastasis in mouse tumor models, and could enhance the efficacy of treatment with anti-PD1 or anti-CTLA4 antibodies.

Application Notes

Optimal dilution of the CD73 antibody should be determined by the researcher.

Immunogen

Recombinant full-length human protein was used as the immunogen for the CD73 antibody.

Storage

Aliquot the CD73 antibody and store frozen at -20oC or colder. Avoid repeated freeze-thaw cycles.

Cross
Bulk Quote Request Form
Name*:
Organization*:
Email*:
Phone Number*:
Catalog No.*:
Comments and Specifics(amount, formulation, etc.)*:
Validation code: Captchapackage Image


Can't read the image? click here to refresh.
    *required field

Your bulk quote request has been submitted successfully!

Please contact us if you have any questions.