• Tel: 858.663.9055
  • SeparatorEmail: info@nsjbio.com
  • Tel: 858.663.9055
  • Email: info@nsjbio.com
Home >> Antibodies >> CD73 Antibody

CD73 Antibody (F47794)

  Catalog No Formulation Size Price (USD)  
Image F47794-0.4ML In 1X PBS, pH 7.4, with 0.09% sodium azide 0.4 ml 429
Image
F47794-0.08ML In 1X PBS, pH 7.4, with 0.09% sodium azide 0.08 ml 199
Bulk quote request
Western blot analysis of lysate from (1) U266, (2) HepG2 cell line, (3) mouse brain tissue lysate using CD73 antibody at 1:2000. Predicted molecular weight: 65-70 kDa.
Western blot analysis of NT5E/ CD73 antibody and 293 cell lysate (2 ug/lane) either nontransfected (Lane 1) or transiently transfected (2) with the NT5E gene.
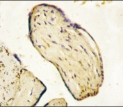
IHC analysis of FFPE human placenta tissue stained with CD73 antibody
Availability 1-3 business days
Species Reactivity Human, Mouse
Format Purified
Clonality Polyclonal (rabbit origin)
Isotype Rabbit Ig
Purity Purified
UniProt P21589
Applications Western Blot : 1:1000-2000
IHC (Paraffin) : 1:10-1:50
Limitations This CD73 antibody is available for research use only.
Review this product on BioCompare and get a $20 Amazon gift card

Related Products

Description

Ecto-5-prime-nucleotidase/5-prime-ribonucleotide phosphohydrolase/NT5E/CD73 catalyzes the conversion at neutral pH of purine 5-prime mononucleotides to nucleosides, the preferred substrate being AMP. The enzyme consists of a dimer of 2 identical 70 kD subunits bound externally to the plasma membrane by a glycosyl phosphatidyl inositol linkage. The enzyme is used as a marker of lymphocyte differentiation. Consequently, a deficiency of NT5E/CD73 occurs in a variety of immunodeficiency diseases. Other forms of 5-prime nucleotidase exist in the cytoplasm and lysosomes and can be distinguished from ecto-NT5 by their substrate affinities, requirement for divalent magnesium ion, activation by ATP, and inhibition by inorganic phosphate. It is not known whether the different enzymes are coded by different genes or result from different posttranslational modifications of a single coding sequence.

Application Notes

Titration of the CD73 antibody may be required due to differences in protocols and secondary/substrate sensitivity.

Immunogen

A portion of amino acids 520-550 from the human protein was used as the immunogen for this CD73 antibody.

Storage

Aliquot the CD73 antibody and store frozen at -20oC or colder. Avoid repeated freeze-thaw cycles.

Cross
Bulk Quote Request Form
Name*:
Organization*:
Email*:
Phone Number*:
Catalog No.*:
Comments and Specifics(amount, formulation, etc.)*:
Validation code: Captchapackage Image


Can't read the image? click here to refresh.
    *required field

Your bulk quote request has been submitted successfully!

Please contact us if you have any questions.