• Tel: 858.663.9055
  • SeparatorEmail: info@nsjbio.com
  • Tel: 858.663.9055
  • Email: info@nsjbio.com
Home >> Antibodies >> CD71 Antibody / Transferrin Receptor (Extracellular domain)

CD71 Antibody / Transferrin Receptor (Extracellular domain) [clone TFRC/1817] (V3480)

  Catalog No Formulation Size Price (USD)  
Image V3480-100UG 0.2 mg/ml in 1X PBS with 0.1 mg/ml BSA (US sourced) and 0.05% sodium azide 100 ug 539
Image
V3480-20UG 0.2 mg/ml in 1X PBS with 0.1 mg/ml BSA (US sourced) and 0.05% sodium azide 20 ug 249
Image
V3480SAF-100UG 1 mg/ml in 1X PBS; BSA free, sodium azide free 100 ug 539
Image
V3480IHC-7ML Prediluted in 1X PBS with 0.1 mg/ml BSA (US sourced) and 0.05% sodium azide; *For IHC use only* 7 ml 539
Bulk quote request
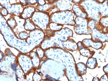
IHC testing of FFPE human placenta tissue with Transferrin Receptor / CD71 antibody (clone TFRC/1817). Required HIER: boil tissue sections in 10mM Tris with 1mM EDTA, pH 9, for 10-20 min followed by cooling at RT for 20 min.
Western blot testing of human 1) Jurkat, 2) HeLa, 3) MCF7 and K562 cell lysate with CD71 antibody (clone TFRC/1817). Predicted molecular weight: 85-95 kDa.
IHC testing of FFPE human bone marrow with Transferrin Receptor / CD71 antibody (clone TFRC/1817). Required HIER: boil tissue sections in 10mM Tris with 1mM EDTA, pH 9, for 10-20 min followed by cooling at RT for 20 min.
SDS-PAGE Analysis of Purified, BSA-Free CD71 Antibody (clone TFRC/1817). Confirmation of Integrity and Purity of the Antibody.
Availability 1-3 business days
Species Reactivity Human
Format Purified
Clonality Monoclonal (mouse origin)
Isotype Mouse IgG2b, kappa
Clone Name TFRC/1817
Purity Protein G affinity chromatography
UniProt P02786
Localization Cell surface
Applications ELISA : 2-4ug/ml (order BSA/azide-free format)
Immunohistochemistry (FFPE) : 1-2ug/ml for 30 min at RT Western blot
Limitations This CD71 antibody is available for research use only.
Review this product on BioCompare and get a $20 Amazon gift card

Related Products

Description

It recognizes a ~85-95kDa protein which is identified as cell surface transferrin receptor (CD71), a disulfide-bonded homodimeric glycoprotein of 180-190kDa. This mAb is highly specific to CD71 and shows no cross-reaction with other related proteins. Ligand for transferrin receptor is the serum iron transport protein, transferrin. This receptor is broadly distributed in carcinomas, sarcomas, leukemias, and lymphomas. CD71/Transferrin receptor has been reported to be associated with cell proliferation in both normal and neoplastic tissues and useful in predicting clinical behavior or response to therapy in a number of malignancies including breast cancer.

Application Notes

Optimal dilution of the CD71 antibody should be determined by the researcher.

Immunogen

Amino acids 94-212 (extracellular domain) of the human protein were used as the immunogen for the Transferrin Receptor / CD71 antibody.

Storage

Store the CD71 antibody at 2-8oC (with azide) or aliquot and store at -20oC or colder (without azide).

Cross
Bulk Quote Request Form
Name*:
Organization*:
Email*:
Phone Number*:
Catalog No.*:
Comments and Specifics(amount, formulation, etc.)*:
Validation code: Captchapackage Image


Can't read the image? click here to refresh.
    *required field

Your bulk quote request has been submitted successfully!

Please contact us if you have any questions.