• Tel: 858.663.9055
  • SeparatorEmail: info@nsjbio.com
  • Tel: 858.663.9055
  • Email: info@nsjbio.com
Home >> Antibodies >> Cd70 Antibody

Cd70 Antibody (RQ6964)

  Catalog No Formulation Size Price (USD)  
Image RQ6964 0.5mg/ml if reconstituted with 0.2ml sterile DI water 100 ug 439
Bulk quote request
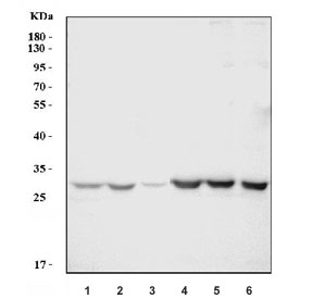
Western blot testing of mouse 1) spleen, 2) thymus, 3) lung, 4) RAW264.7, 5) Ana-1 and 6) SP2/0 cell lysate with Cd70 antibody. Predicted molecular weight ~21 kDa but may be observed at up to ~80 kDa due to glycosylation.
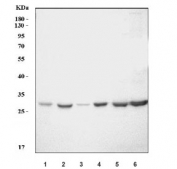
Western blot testing of 1) rat spleen, 2) rat thymus, 3) rat lung, 4) rat L6, 5) rat PC-12 and 6) mouse B16 cell lysate with Cd70 antibody. Predicted molecular weight ~21 kDa but may be observed at up to ~80 kDa due to glycosylation.
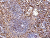
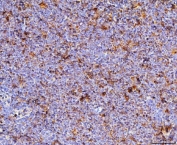
IHC staining of FFPE mouse spleen tissue with Cd70 antibody. HIER: boil tissue sections in pH8 EDTA for 20 min and allow to cool before testing.
IHC staining of FFPE mouse lymph node tissue with Cd70 antibody. HIER: boil tissue sections in pH8 EDTA for 20 min and allow to cool before testing.
Availability 1-3 business days
Species Reactivity Mouse, Rat
Format Antigen affinity purified
Clonality Polyclonal (rabbit origin)
Isotype Rabbit IgG
Purity Antigen affinity purified
Buffer Lyophilized from 1X PBS with 2% Trehalose
UniProt O55237
Applications Western Blot : 0.5-1 ug/ml
Immunohistochemistry (FFPE) : 2-5ug/ml
Direct ELISA : 0.1-0.5ug/ml
Limitations This Cd70 antibody is available for research use only.
Review this product on BioCompare and get a $20 Amazon gift card

Related Products

  • Applications : FACS, IF, IHC
    Reactivity : Human
    Citation  Citations(11)
  • Applications : ELISA, Functional studies, FACS, IF
    Reactivity : Human
  • Applications : WB, IHC, ELISA
    Reactivity : Human

Description

CD70 (Cluster of Differentiation 70) is a protein that in humans is encoded by CD70 gene. The protein encoded by this gene is a cytokine that belongs to the tumor necrosis factor (TNF) ligand family. This cytokine is a ligand for TNFRSF27/CD27. It is a surface antigen on activated, but not on resting, T and B lymphocytes. It induces proliferation of costimulated T cells, enhances the generation of cytolytic T cells, and contributes to T cell activation. This cytokine is also reported to play a role in regulating B-cell activation, cytotoxic function of natural killer cells, and immunoglobulin sythesis.

Application Notes

Optimal dilution of the Cd70 antibody should be determined by the researcher.

Immunogen

Recombinant mouse Cd70 protein (amino acids C36-Q191) was used as the immunogen for the Cd70 antibody.

Storage

After reconstitution, the Cd70 antibody can be stored for up to one month at 4oC. For long-term, aliquot and store at -20oC. Avoid repeated freezing and thawing.

Cross
Bulk Quote Request Form
Name*:
Organization*:
Email*:
Phone Number*:
Catalog No.*:
Comments and Specifics(amount, formulation, etc.)*:
Validation code: Captchapackage Image


Can't read the image? click here to refresh.
    *required field

Your bulk quote request has been submitted successfully!

Please contact us if you have any questions.