• Tel: 858.663.9055
  • SeparatorEmail: info@nsjbio.com
  • Tel: 858.663.9055
  • Email: info@nsjbio.com
Home >> Antibodies >> CD7 Antibody

CD7 Antibody (RQ4098)

  Catalog No Formulation Size Price (USD)  
Image RQ4098 0.5mg/ml if reconstituted with 0.2ml sterile DI water 100 ug 439
Bulk quote request
FACS testing of human PBMC with CD7 antibody at 1ug/10^6 cells; blue=CD7 antibody, green=isotype control, red=cells alone.
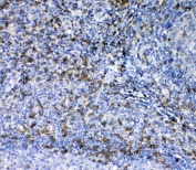
IHC testing of FFPE human tonsil tissue with CD7 antibody at 1ug/ml. Required HIER: steam section in pH6 citrate buffer for 20 min and allow to cool prior to testing.
Availability 1-3 business days
Species Reactivity Human
Format Antigen affinity purified
Clonality Polyclonal (rabbit origin)
Isotype Rabbit IgG
Purity Antigen affinity purified
Buffer Lyophilized from 1X PBS with 2% Trehalose and 0.025% sodium azide
UniProt P09564
Localization Cytoplasmic, membrane
Applications Flow Cytometry : 1-3ug/10^6 cells
IHC (FFPE) : 1-2ug/ml
Direct ELISA : 0.1-0.5ug/ml
Limitations This CD7 antibody is available for research use only.
Review this product on BioCompare and get a $20 Amazon gift card

Related Products

Description

CD7 (Cluster of Differentiation 7) is a protein that in humans is encoded by the CD7 gene. This gene encodes a transmembrane protein which is a member of the immunoglobulin superfamily. This protein is found on thymocytes and mature T cells. It plays an essential role in T-cell interactions and also in T-cell/B-cell interaction during early lymphoid development.

Application Notes

Optimal dilution of the CD7 antibody should be determined by the researcher.

Immunogen

A recombinant human partial protein corresponding to amino acids A26-D172 was used as the immunogen for the CD7 antibody.

Storage

After reconstitution, the CD7 antibody can be stored for up to one month at 4oC. For long-term, aliquot and store at -20oC. Avoid repeated freezing and thawing.

Cross
Bulk Quote Request Form
Name*:
Organization*:
Email*:
Phone Number*:
Catalog No.*:
Comments and Specifics(amount, formulation, etc.)*:
Validation code: Captchapackage Image


Can't read the image? click here to refresh.
    *required field

Your bulk quote request has been submitted successfully!

Please contact us if you have any questions.