• Tel: 858.663.9055
  • SeparatorEmail: info@nsjbio.com
  • Tel: 858.663.9055
  • Email: info@nsjbio.com
Home >> Antibodies >> CD68 Antibody Cocktail

CD68 Antibody Cocktail [clone KP1 + C68/684] (V2075)

  Catalog No Formulation Size Price (USD)  
Image V2075-100UG 0.2 mg/ml in 1X PBS with 0.1 mg/ml BSA (US sourced) and 0.05% sodium azide 100 ug 539
Image
V2075-20UG 0.2 mg/ml in 1X PBS with 0.1 mg/ml BSA (US sourced) and 0.05% sodium azide 20 ug 249
Image
V2075SAF-100UG 1 mg/ml in 1X PBS; BSA free, sodium azide free 100 ug 539
Image
V2075IHC-7ML Prediluted in 1X PBS with 0.1 mg/ml BSA (US sourced) and 0.05% sodium azide; *For IHC use only* 7 ml 539
Bulk quote request
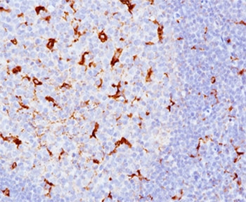
IHC testing of human tonsil (10X) stained with CD68 antibody cocktail (KP1 + C68/684).
Species Reactivity Human, Mouse, Rat, Cat
Format Purified
Clonality Monoclonal (mouse origin)
Isotype Mouse IgG1, kappa
Clone Name KP1 + C68/684
Purity Protein G affinity chromatography
Buffer 1X PBS, pH 7.4
Gene ID 968
Localization Cytoplasmic, membrane
Applications Immunohistochemistry (FFPE) : 1-2ug/ml for 30 min at RT
Limitations This CD68 antibody is available for research use only.
Review this product on BioCompare and get a $20 Amazon gift card

Related Products

Description

This antibody cocktail recognizes a glycoprotein of 110kDa, which is identified as CD68. antibody to CD68 is important for identifying macrophages in tissue sections. It stains macrophages in a wide variety of human tissues, including Kupffer cells and macrophages in the red pulp of the spleen, in lamina propria of the gut, in lung alveoli, and in bone marrow. CD68 antibody reacts with myeloid precursors and peripheral blood granulocytes. It also reacts with plasmacytoid T cells, which are supposed to be of monocyte/macrophage origin. CD68 shows strong granular cytoplasmic staining of chronic and acute myeloid leukemia and also reacts with rare cases of true histiocytic neoplasia. Lymphomas are negative or show few granules.

Application Notes

The concentration stated for each application is a general starting point. Variations in protocols, secondaries and substrates may require the CD68 antibody to be titered up or down for optimal performance.

1. Staining of formalin-fixed tissues is enhanced by boiling tissue sections in 10mM Citrate Buffer, pH 6.0, for 10-20 min followed by cooling at RT for 20 minutes.
2. The prediluted format is supplied in a dropper bottle and is optimized for use in IHC. After epitope retrieval step (if required), drip mAb solution onto the tissue section and incubate at RT for 30 min.

Immunogen

The subcellular fraction of human alveolar macrophages was used as the immunogen for this CD68 antibody.

Storage

Store the CD68 antibody at 2-8oC (with azide) or aliquot and store at -20oC or colder (without azide).

Alternate Names

GP110, LAMP4, Microsialin, Macrosialin, SCARD1, Scavenger Receptor Class D Member-1, CD68 antibody

Cross
Bulk Quote Request Form
Name*:
Organization*:
Email*:
Phone Number*:
Catalog No.*:
Comments and Specifics(amount, formulation, etc.)*:
Validation code: Captchapackage Image


Can't read the image? click here to refresh.
    *required field

Your bulk quote request has been submitted successfully!

Please contact us if you have any questions.