• Tel: 858.663.9055
  • SeparatorEmail: info@nsjbio.com
  • Tel: 858.663.9055
  • Email: info@nsjbio.com
Home >> Antibodies >> CD63 Antibody / LAMP-3

CD63 Antibody / LAMP-3 [clone MX-49.129.5] (V2071)

  Catalog No Formulation Size Price (USD)  
Image V2071-100UG 0.2 mg/ml in 1X PBS with 0.1 mg/ml BSA (US sourced) and 0.05% sodium azide 100 ug 539
Image
V2071-20UG 0.2 mg/ml in 1X PBS with 0.1 mg/ml BSA (US sourced) and 0.05% sodium azide 20 ug 249
Image
V2071SAF-100UG 1 mg/ml in 1X PBS; BSA free, sodium azide free 100 ug 539
Image
V2071IHC-7ML Prediluted in 1X PBS with 0.1 mg/ml BSA (US sourced) and 0.05% sodium azide; *For IHC use only* 7 ml 539
Bulk quote request
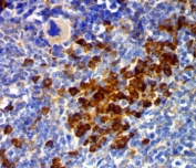
IHC testing of FFPE human melanoma stained with CD63 antibody (clone MX49.129.5).
IHC testing of FFPE mouse spleen stained with CD63 antibody (clone MX49.129.5).
FACS testing of human PBMC: Black=cells alone; Green=isotype control; Red=CD63 antibody PE conjugate
FACS testing of mouse NIH3T3: Black=cells alone; Green=isotype control; Red=CD63 antibody PE conjugate
Western blot testing of human spleen lysate with CD63 antibody at 2 ug/ml (clone MX-49.129.5).
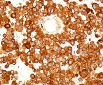
IHC testing of FFPE prostate carcinoma with CD63 antibody (clone MX-49.129.5).
Immunofluorescence testing of HeLa cells with Alexa Fluor 488 conjugated CD63 antibody (green). F-actin filaments are labeled with Dylight 554 phalloidin (red); nuclei stained with DAPI (blue).
FACS staining of human MCF7 cells: Gray = unstained, Green = CF488 labeled CD63 antibody.
FACS staining of bead-bound exosomes derived from human MCF7 cells: Gray = unstained, Green = CF488 labeled CD63 antibody.
FACS staining of human MCF7 cells: Gray = unstained, Orange = CF568 labeled CD63 antibody.
FACS staining of bead-bound exosomes derived from human MCF7 cells: Gray = unstained, Orange = CF568 labeled CD63 antibody.
Immunofluorescence testing of human U-87 MG cells with CD63 antibody (green) and phalloidin (red).
Species Reactivity Human, Mouse
Format Purified
Clonality Monoclonal (mouse origin)
Isotype Mouse IgG1, kappa
Clone Name MX-49.129.5
Purity Protein G affinity chromatography
Buffer 1X PBS, pH 7.4
Gene ID 967
Localization Cytoplasmic
Applications Flow Cytometry : 1-2ug/10^6 cells
Immunofluorescence : 1-2ug/ml
Western Blot : 1-2ug/ml
Immunohistochemistry (FFPE) : 1-2ug/ml for 30 min at RT
Limitations This CD63 antibody is available for research use only.
Review this product on BioCompare and get a $20 Amazon gift card

Related Products

Description

CD63 antibody clone MX-49.129.5 is a monoclonal antibody specific for CD63, a tetraspanin family protein expressed on the plasma membrane and intracellular vesicles such as late endosomes and lysosomes. CD63 plays roles in cell adhesion, migration, degranulation, and vesicle trafficking. It is also enriched on exosomes, making it a widely used marker for extracellular vesicle research. NSJ Bioreagents provides CD63 antibody clone MX-49.129.5 for immunology, cancer, and cell biology studies.

The antibody produces strong membranous and cytoplasmic staining in platelets, granulocytes, and endothelial cells. In immunology, it is employed to study cell activation and degranulation, as CD63 translocates to the plasma membrane during immune cell activation. It has also been applied in studies of allergic disease and inflammation, where CD63 serves as a marker of basophil and mast cell degranulation.

In oncology, CD63 antibody clone MX-49.129.5 has been used to explore tumor progression and metastasis. CD63 modulates integrin signaling and cell adhesion, influencing tumor cell invasion. Its role as an exosome marker has also made it valuable in studies of tumor-derived extracellular vesicles, which mediate intercellular communication and promote cancer progression.

In cell biology, CD63 antibody clone MX-49.129.5 supports investigations into vesicle trafficking and exosome biogenesis. By labeling multivesicular bodies and exosomes, the antibody provides insight into vesicle release and signaling pathways.

Validated for tissue and cell-based systems, the antibody consistently delivers reliable staining. Alternate names include LAMP-3 antibody, tetraspanin 30 antibody, and granulophysin antibody.

Application Notes

The concentration stated for each application is a general starting point. Variations in protocols, secondaries and substrates may require the antibody to be titered up or down for optimal performance.

1. Staining of formalin-fixed tissues is enhanced by boiling tissue sections in pH 9 10mM Tris with 1mM EDTA for 10-20 min followed by cooling at RT for 20 minutes.
2. The prediluted format is supplied in a dropper bottle and is optimized for use in IHC. After epitope retrieval step (if required), drip mAb solution onto the tissue section and incubate at RT for 30 min.

Immunogen

Full length human CD63 was used as the immunogen for this antibody.

Storage

Store the CD63 antibody at 2-8oC (with azide) or aliquot and store at -20oC or colder (without azide).

Alternate Names

gp55; granulophysin; Lysosomal-associated membrane protein 3 (LAMP-3); Mast cell antigen AD1; melanoma 1 antigen; Melanoma-associated antigen MLA1; Melanoma-associated antigen ME491; MLA1; NGA; Ocular melanoma-associated antigen; OMA81H; PTLGP40; Tetraspanin-30; TSPAN30, CD63 antibody

Cross
Bulk Quote Request Form
Name*:
Organization*:
Email*:
Phone Number*:
Catalog No.*:
Comments and Specifics(amount, formulation, etc.)*:
Validation code: Captchapackage Image


Can't read the image? click here to refresh.
    *required field

Your bulk quote request has been submitted successfully!

Please contact us if you have any questions.