• Tel: 858.663.9055
  • SeparatorEmail: info@nsjbio.com
  • Tel: 858.663.9055
  • Email: info@nsjbio.com
Home >> Antibodies >> CD62L Antibody / L-Selectin

CD62L Antibody / L-Selectin (R31964)

  Catalog No Formulation Size Price (USD)  
Image R31964 0.5mg/ml if reconstituted with 0.2ml sterile DI water 100 ug 439
Bulk quote request
Western blot testing of 1) human placenta, 2) Jurkat, 3) CEM, 4) HL60, 5) rat spleen and 6) mouse spleen with CD62L antibody. Expected/observed molecular weight: 42~95 kDa depending on level of glycosylation.
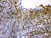
IHC testing of FFPE human tonsil with CD62L antibody. HIER: Boil the paraffin sections in pH 6, 10mM citrate buffer for 20 minutes and allow to cool prior to staining.
Availability 1-3 business days
Species Reactivity Human, Mouse, Rat
Format Antigen affinity purified
Clonality Polyclonal (rabbit origin)
Isotype Rabbit IgG
Purity Antigen affinity
Buffer Lyophilized from 1X PBS with 2.5% BSA and 0.025% sodium azide
UniProt P14151
Applications Western Blot : 0.1-0.5ug/ml
IHC (FFPE) : 0.5-1ug/ml
ELISA : 0.1-0.5ug/ml (human protein tested); request BSA-free format for coating
Limitations This CD62L antibody is available for research use only.
Review this product on BioCompare and get a $20 Amazon gift card

Related Products

Description

CD62L, also known as L-selectin, is a cell adhesion molecule found on leukocytes. It belongs to the selectin family of proteins, which recognize sialylated carbohydrate groups. It is cleaved by ADAM17. SELL (L-selectin) is a cell surface component that is a member of a family of adhesion/homing receptors which play important roles in leukocyte-endothelial cell interactions. The molecule is composed of multiple domains: one homologous to lectins, one to epidermal growth factor, and two to the consensus repeat units found in C3/C4 binding proteins. L-selectin acts as a homing receptor for leukocytes to enter secondary lymphoid tissues via high endothelial venules. Ligands present on endothelial cells will bind to leukocyte expressing L-selectin, slowing leukocyte trafficking through the blood, and facilitating entry into a secondary lymphoid organ at that point.

Application Notes

Optimal dilution of the CD62L antibody should be determined by the researcher.

Immunogen

Amino acids 39-372 of human CD62L were used as the immunogen for the CD62L antibody.

Storage

After reconstitution, the CD62L antibody can be stored for up to one month at 4oC. For long-term, aliquot and store at -20oC. Avoid repeated freezing and thawing.

Cross
Bulk Quote Request Form
Name*:
Organization*:
Email*:
Phone Number*:
Catalog No.*:
Comments and Specifics(amount, formulation, etc.)*:
Validation code: Captchapackage Image


Can't read the image? click here to refresh.
    *required field

Your bulk quote request has been submitted successfully!

Please contact us if you have any questions.