• Tel: 858.663.9055
  • SeparatorEmail: info@nsjbio.com
  • Tel: 858.663.9055
  • Email: info@nsjbio.com
Home >> Antibodies >> CD61 Antibody / ITGB3 / Integrin beta 3

CD61 Antibody / ITGB3 / Integrin beta 3 [clone Y2/51] (V3255)

  Catalog No Formulation Size Price (USD)  
Image V3255-100UG 0.2 mg/ml in 1X PBS with 0.1 mg/ml BSA (US sourced) and 0.05% sodium azide 100 ug 539
Image
V3255-20UG 0.2 mg/ml in 1X PBS with 0.1 mg/ml BSA (US sourced) and 0.05% sodium azide 20 ug 249
Image
V3255SAF-100UG 1 mg/ml in 1X PBS; BSA free, sodium azide free 100 ug 539
Bulk quote request
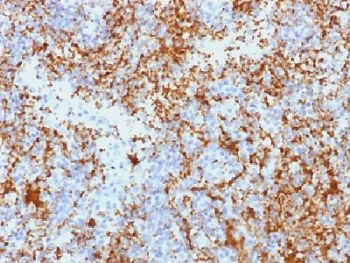
IHC testing of FFPE human spleen tissue with CD61 antibody (clone Y2/51). Required HIER: boil tissue sections in 10mM Tris with 1mM EDTA, pH 9.0, for 10-20 min.
SDS-PAGE Analysis of Purified, BSA-Free CD61 Antibody (clone Y2/51). Confirmation of Integrity and Purity of the Antibody.
Availability 1-3 business days
Species Reactivity Human
Format Purified
Clonality Monoclonal (mouse origin)
Isotype Mouse IgG1, kappa
Clone Name Y2/51
Purity Protein G affinity
UniProt P05106
Localization Cell surface, cytoplasmic
Applications Immunohistochemistry (Frozen & FFPE) : 1-2ug/ml for 30 min at RT
Limitations This CD61 antibody is available for research use only.
Review this product on BioCompare and get a $20 Amazon gift card

Related Products

Description

Reacts with human CD61, also called Integrin beta 3 (GPIIIa, vitronectin receptor beta chain). It associates with the αV-chain (CD51) to form vitronectin receptor, or with the αIIb-chain (CD41) to form the GpIIb/GpIIIa complex (CD41/CD61). The CD41/CD61 complex appears early in megakaryocyte maturation. The activated CD41/CD61 complex is a receptor for von Willebrand factor, soluble fibrinogen, fibronectin, vitronectin and thrombospondin. It plays a central role in platelet activation and aggregation. The CD51/CD61 is implicated in tumor metastasis and adenoviral infection. The antibody detects platelets in smears of blood and bone marrow, as well as megakaryocytes in frozen sections and cell smears. The antibody is useful for classification of megakaryoblastic leukemia.

Application Notes

Titration of the CD61 antibody may be required due to differences in protocols and secondary/substrate sensitivity.

Immunogen

Phytohemagglutinin (PHA)-stimulated peripheral blood cells were used as the immunogen for the CD61 antibody.

Storage

Store the CD61 antibody at 2-8oC (with azide) or aliquot and store at -20oC or colder (without azide).

Cross
Bulk Quote Request Form
Name*:
Organization*:
Email*:
Phone Number*:
Catalog No.*:
Comments and Specifics(amount, formulation, etc.)*:
Validation code: Captchapackage Image


Can't read the image? click here to refresh.
    *required field

Your bulk quote request has been submitted successfully!

Please contact us if you have any questions.