• Tel: 858.663.9055
  • SeparatorEmail: info@nsjbio.com
  • Tel: 858.663.9055
  • Email: info@nsjbio.com
Home >> Antibodies >> CD61 Antibody / ITGB3 / Integrin beta 3

CD61 Antibody / ITGB3 / Integrin beta 3 (RQ7183)

  Catalog No Formulation Size Price (USD)  
Image RQ7183 0.5mg/ml if reconstituted with 0.2ml sterile DI water 100 ug 439
Bulk quote request
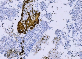
IHC staining of FFPE human lung cancer tissue with CD61 antibody. HIER: boil tissue sections in pH8 EDTA for 20 min and allow to cool before testing.
IHC staining of FFPE human liver cancer tissue with CD61 antibody. HIER: boil tissue sections in pH8 EDTA for 20 min and allow to cool before testing.
IHC staining of FFPE rat lung tissue with CD61 antibody. HIER: boil tissue sections in pH8 EDTA for 20 min and allow to cool before testing.
Western blot testing of 1) human U-87 MG, 2) human HEL and 3) rat spleen lysate with CD61 antibody. Expected molecular weight: 87-110 kDa depending on glycosylation level.
Flow cytometry testing of human HEL cells with CD61 antibody at 1ug/million cells (blocked with goat sera); Red=cells alone, Green=isotype control, Blue= CD61 antibody.
Availability 1-3 business days
Species Reactivity Human, Rat
Format Antigen affinity purified
Clonality Polyclonal (rabbit origin)
Isotype Rabbit IgG
Purity Antigen affinity purified
Buffer Lyophilized from 1X PBS with 2% Trehalose
UniProt P05106
Localization Cell surface, cytoplasmic
Applications Western Blot : 0.5-1ug/ml
Immunohistochemistry (FFPE) : 2-5ug/ml
Flow Cytometry : 1-3ug/million cells
Direct ELISA : 0.1-0.5ug/ml
Limitations This CD61 antibody is available for research use only.
Review this product on BioCompare and get a $20 Amazon gift card

Related Products

Description

ITGB3 (INTEGRIN, BETA-3), also called GP3A, GPIIIa, CD61, is a protein that in humans is encoded by the ITGB3 gene. It is a cluster of differentiation found on thrombocytes. The 3-prime exon is larger than 1,700 nucleotides and contains the 3-prime untranslated region. The ITGB3 complex belongs to the integrin class of cell adhesion molecule receptors that share a common heterodimeric structure with alpha and beta subunits. Additionally, the ITGB3 complex mediates platelet aggregation by acting as a receptor for fibrinogen. Although the ITGB3 is expressed on the cell surface at normal levels and is capable of function following extracellular stimulation, it could not be activated via the 'inside-out' signaling pathways.

Application Notes

Optimal dilution of the CD61 antibody should be determined by the researcher.

Immunogen

Recombinant human protein (amino acids N29-Q523) was used as the immunogen for the CD61 antibody.

Storage

After reconstitution, the CD61 antibody can be stored for up to one month at 4oC. For long-term, aliquot and store at -20oC. Avoid repeated freezing and thawing.

Cross
Bulk Quote Request Form
Name*:
Organization*:
Email*:
Phone Number*:
Catalog No.*:
Comments and Specifics(amount, formulation, etc.)*:
Validation code: Captchapackage Image


Can't read the image? click here to refresh.
    *required field

Your bulk quote request has been submitted successfully!

Please contact us if you have any questions.