• Tel: 858.663.9055
  • SeparatorEmail: info@nsjbio.com
  • Tel: 858.663.9055
  • Email: info@nsjbio.com
Home >> Antibodies >> CD5L Antibody

CD5L Antibody [clone CD5L/2991] (V8377)

  Catalog No Formulation Size Price (USD)  
Image V8377-100UG 0.2 mg/ml in 1X PBS with 0.1 mg/ml BSA (US sourced) and 0.05% sodium azide 100 ug 539
Image
V8377-20UG 0.2 mg/ml in 1X PBS with 0.1 mg/ml BSA (US sourced) and 0.05% sodium azide 20 ug 249
Image
V8377SAF-100UG 1 mg/ml in 1X PBS; BSA free, sodium azide free 100 ug 539
Microvalidated
Bulk quote request
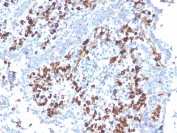
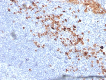
IHC staining of FFPE human tonsil with CD5L antibody. HIER: boil tissue sections in pH 9 10mM Tris with 1mM EDTA for 20 min and allow to cool before testing.
IHC staining of FFPE human tonsil with CD5L antibody. HIER: boil tissue sections in pH 9 10mM Tris with 1mM EDTA for 20 min and allow to cool before testing.
Analysis of HuProt(TM) microarray containing more than 19,000 full-length human proteins using CD5L antibody. These results demonstrate the foremost specificity of the CD5L/2991 mAb. Z- and S- score: The Z-score represents the strength of a signal that an antibody (in combination with a fluorescently-tagged anti-IgG secondary Ab) produces when binding to a particular protein on the HuProt(TM) array. Z-scores are described in units of standard deviations (SD's) above the mean value of all signals generated on that array. If the targets on the HuProt(TM) are arranged in descending order of the Z-score, the S-score is the difference (also in units of SD's) between the Z-scores. The S-score therefore represents the relative target specificity of an Ab to its intended target.
SDS-PAGE analysis of purified, BSA-free CD5L antibody as confirmation of integrity and purity.
Availability 1-3 business days
Species Reactivity Human
Format Purified
Clonality Monoclonal (mouse origin)
Isotype Mouse IgG2b, kappa
Clone Name CD5L/2991
Purity Protein G affinity chromatography
UniProt O43866
Localization Secreted
Applications Immunohistochemistry (FFPE) : 1-2ug/ml for 30 minutes at RT
Limitations This CD5L antibody is available for research use only.
Review this product on BioCompare and get a $20 Amazon gift card

Related Products

Description

CD5L (CD5 molecule-like), also known as API6, PRO229, Sp or SP-ALPHA, is a 347 amino acid secreted protein that belongs to the scavenger receptor cysteine-rich (SRCR) family of leukocyte regulating proteins. Expressed in bone marrow, spleen, thymus, lymph node and fetal liver, CD5L is thought to be involved in regulating the immune system via binding to peripheral monocytes and mediating their activation and overall survival. CD5L has three cysteine-rich domains and, in addition to its role in the immune system, may function to inhibit apoptosis and promote macrophage survival.

Application Notes

Optimal dilution of the CD5L antibody should be determined by the researcher.

Immunogen

A portion of amino acids 269-366 from the human protein was used as the immunogen for the CD5L antibody.

Storage

Store the CD5L antibody at 2-8oC (with azide) or aliquot and store at -20oC or colder (without azide).

Cross
Bulk Quote Request Form
Name*:
Organization*:
Email*:
Phone Number*:
Catalog No.*:
Comments and Specifics(amount, formulation, etc.)*:
Validation code: Captchapackage Image


Can't read the image? click here to refresh.
    *required field

Your bulk quote request has been submitted successfully!

Please contact us if you have any questions.