• Tel: 858.663.9055
  • SeparatorEmail: info@nsjbio.com
  • Tel: 858.663.9055
  • Email: info@nsjbio.com
Home >> Antibodies >> CD59 Antibody

CD59 Antibody [clone SPM616] (V3023)

  Catalog No Formulation Size Price (USD)  
Image V3023-100UG 0.2 mg/ml in 1X PBS with 0.1 mg/ml BSA (US sourced) and 0.05% sodium azide 100 ug 539
Image
V3023-20UG 0.2 mg/ml in 1X PBS with 0.1 mg/ml BSA (US sourced) and 0.05% sodium azide 20 ug 249
Image
V3023SAF-100UG 1 mg/ml in 1X PBS; BSA free, sodium azide free 100 ug 539
Bulk quote request
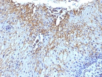
IHC: Formalin-fixed, paraffin-embedded human tongue stained with CD59 antibody (SPM616)
Availability 1-3 business days
Species Reactivity Human
Format Purified
Clonality Monoclonal (mouse origin)
Isotype Mouse IgG1, kappa
Clone Name SPM616
Purity Protein G affinity chromatography
UniProt P13987
Localization Plasma membrane, cytoplasm
Applications Immunohistochemistry (FFPE) : 1-2ug/ml for 30 min at RT
Limitations This CD59 antibody is available for research use only.
Review this product on BioCompare and get a $20 Amazon gift card

Related Products

Description

CD59 is a glycosyl phosphatidyl-inositol (GPI)-anchored cell surface protein. CD59 attaches to host cells via a glycophosphatidylinositol (GPI) anchor. When complement activation leads to deposition of C5b678 on host cells, it can prevent C9 from polymerizing and forming the complement membrane attack complex. Mutations affecting GPI that reduce expression of CD59 and decay-accelerating factor on red blood cells result in paroxysmal nocturnal hemoglobinuria. Viruses such as HIV, human cytomegalovirus and vaccinia incorporate host cell CD59 into their own viral envelope to prevent lysis by complement. [Wiki]

Application Notes

Optimal dilution of the CD59 antibody should be determined by the researcher.

1. Staining of formalin-fixed tissues is enhanced by boiling tissue sections in pH 9 10mM Tris with 1mM EDTA for 10-20 min followed by cooling at RT for 20 min.

Immunogen

Recombinant full-length human protein was used as the immunogen for the CD59 antibody.

Storage

Store the CD59 antibody at 2-8oC (with azide) or aliquot and store at -20oC or colder (without azide).

Cross
Bulk Quote Request Form
Name*:
Organization*:
Email*:
Phone Number*:
Catalog No.*:
Comments and Specifics(amount, formulation, etc.)*:
Validation code: Captchapackage Image


Can't read the image? click here to refresh.
    *required field

Your bulk quote request has been submitted successfully!

Please contact us if you have any questions.