• Tel: 858.663.9055
  • SeparatorEmail: info@nsjbio.com
  • Tel: 858.663.9055
  • Email: info@nsjbio.com
Home >> Antibodies >> CD57 Antibody

CD57 Antibody (R34315)

  Catalog No Formulation Size Price (USD)  
Image R34315-100UG 0.5 mg/ml in 1X TBS, pH7.3, with 0.5% BSA (US sourced) and 0.02% sodium azide 100 ug 449
Bulk quote request
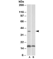
Western blot testing of human frontal cortex lysate with CD57 antibody at 0.1ug/ml with [B] and without [A] immunizing peptide. Predicted/observed molecular weight ~38kDa.
Availability 1-3 business days
Species Reactivity Human
Predicted Reactivity Dog, Mouse, Pig, Rat
Format Antigen affinity purified
Clonality Polyclonal (goat origin)
Isotype Goat Ig
Purity Antigen affinity
Gene ID 27087
Applications Western Blot : 0.1-0.3ug/ml
ELISA (peptide) LOD : 1:64000
Limitations This CD57 antibody is available for research use only.
Review this product on BioCompare and get a $20 Amazon gift card

Related Products

Description

Additional name(s) for this target protein: HNK1; B3GAT1

Application Notes

Optimal dilution of the CD57 antibody should be determined by the researcher.

Immunogen

Amino acids HVETPRNYKLRGD were used as the immunogen for this CD57 antibody.

Storage

Aliquot and store the CD57 antibody at -20oC.

Cross
Bulk Quote Request Form
Name*:
Organization*:
Email*:
Phone Number*:
Catalog No.*:
Comments and Specifics(amount, formulation, etc.)*:
Validation code: Captchapackage Image


Can't read the image? click here to refresh.
    *required field

Your bulk quote request has been submitted successfully!

Please contact us if you have any questions.