• Tel: 858.663.9055
  • SeparatorEmail: info@nsjbio.com
  • Tel: 858.663.9055
  • Email: info@nsjbio.com
Home >> Antibodies >> CD57 Antibody Cocktail

CD57 Antibody Cocktail [clone HNK-1 + NK-1] (V2534)

  Catalog No Formulation Size Price (USD)  
Image V2534-100UG 0.2 mg/ml in 1X PBS with 0.1 mg/ml BSA (US sourced) and 0.05% sodium azide 100 ug 539
Image
V2534-20UG 0.2 mg/ml in 1X PBS with 0.1 mg/ml BSA (US sourced) and 0.05% sodium azide 20 ug 249
Image
V2534SAF-100UG 1 mg/ml in 1X PBS; BSA free, sodium azide free 100 ug 539
Image
V2534IHC-7ML Prediluted in 1X PBS with 0.1 mg/ml BSA (US sourced) and 0.05% sodium azide; *For IHC use only* 7 ml 539
Bulk quote request
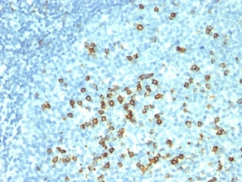
IHC: Formalin-fixed, paraffin-embedded human tonsil stained with CD57 antibody (HNK-1 + NK-1).
Availability 1-3 business days
Species Reactivity Human
Format Purified
Clonality Monoclonal (mouse origin)
Isotype Mouse IgM, kappa
Clone Name HNK-1 + NK-1
Purity PEG precipitation
UniProt Q9P2W7
Localization Cell surface, cytoplasmic
Applications Immunofluorescence : 0.5-1ug/ml
Immunohistochemistry (FFPE) : 2-4ug/ml for 30 min at RT
Limitations This CD57 antibody cocktail is available for research use only.
Review this product on BioCompare and get a $20 Amazon gift card

Related Products

Description

Anti-CD57 marks a subset of lymphocytes known as natural killer (NK) cells. Follicular center cell lymphomas often contain many NK cells within the neoplastic follicles. Anti-CD57 also stains neuroendocrine cells and their derived tumors, including carcinoid tumor and medulloblastoma. Anti-CD57 can also be useful in separating type B3 thymoma from thymic carcinoma when combined with a panel that includes antibodies against GLUT1, CD5, and CEA.

Application Notes

Optimal dilution of the CD57 antibody cocktail should be determined by the researcher.

1. Staining of formalin-fixed tissues requires boiling tissue sections in 10mM Tris with 1mM EDTA, pH 9.0, for 10-20 min followed by cooling at RT for 20 min
2. The prediluted format is supplied in a dropper bottle and is optimized for use in IHC. After epitope retrieval step (if required), drip mAb solution onto the tissue section and incubate at RT for 30 min.

Immunogen

Human peripheral blood mononuclear cells were used as the immunogen for the CD57 antibody cocktail.

Storage

Store the CD57 antibody cocktail at 2-8oC (with azide) or aliquot and store at -20oC or colder (without azide).

Cross
Bulk Quote Request Form
Name*:
Organization*:
Email*:
Phone Number*:
Catalog No.*:
Comments and Specifics(amount, formulation, etc.)*:
Validation code: Captchapackage Image


Can't read the image? click here to refresh.
    *required field

Your bulk quote request has been submitted successfully!

Please contact us if you have any questions.