• Tel: 858.663.9055
  • SeparatorEmail: info@nsjbio.com
  • Tel: 858.663.9055
  • Email: info@nsjbio.com
Home >> Antibodies >> CD56 Antibody

CD56 Antibody [clone 56C04, also called 123A8] (V7487)

  Catalog No Formulation Size Price (USD)  
Image V7487-100UG 0.2 mg/ml in 1X PBS with 0.1 mg/ml BSA (US sourced) and 0.05% sodium azide 100 ug 539
Image
V7487-20UG 0.2 mg/ml in 1X PBS with 0.1 mg/ml BSA (US sourced) and 0.05% sodium azide 20 ug 249
Image
V7487SAF-100UG 1 mg/ml in 1X PBS; BSA free, sodium azide free 100 ug 539
Image
V7487IHC-7ML Prediluted in 1X PBS with 0.1 mg/ml BSA (US sourced) and 0.05% sodium azide; *For IHC use only* 7 ml 539
Bulk quote request
Western blot testing of human brain tissue with CD56 antibody (clone 56C04/123A8). Predicted molecular weight: ~110 kDa (soluble fragment), ~120/125 kDa (GPI-anchored), 140/180 kDa (transmembrane isoforms).
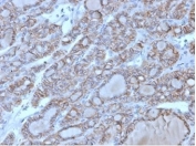
IHC staining of FFPE human pancreas tissue with CD56 antibody (clone 56C04/123A8). HIER: boil tissue sections in pH9 EDTA buffer for 10-20 min followed by cooling at RT for 20 min.
IHC staining of FFPE human thyroid tissue with CD56 antibody (clone 56C04/123A8). HIER: boil tissue sections in pH9 EDTA buffer for 10-20 min followed by cooling at RT for 20 min.
IHC staining of FFPE human colon tissue with CD56 antibody (clone 56C04/123A8). HIER: boil tissue sections in pH9 EDTA buffer for 10-20 min followed by cooling at RT for 20 min.
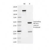
SDS-PAGE analysis of purified, BSA-free CD56 antibody (clone 56C04/123A8) as confirmation of integrity and purity.
Availability 1-3 business days
Species Reactivity Human
Format Purified
Clonality Monoclonal (mouse origin)
Isotype Mouse IgG1, kappa
Clone Name 56C04, also called 123A8
Purity Protein G affinity chromatography
UniProt P13591
Localization Cell surface, cytoplasmic
Applications Immunofluorescence : 1-2ug/ml
Immunohistochemistry (FFPE) : 1-2ug/ml for 30 min at RT
Western Blot : 1-2ug/ml
Limitations This CD56 antibody is available for research use only.
Review this product on BioCompare and get a $20 Amazon gift card

Related Products

Description

Three isoforms of neural cell adhesion molecule (NCAM) are produced by differential splicing of the RNA transcript from a single gene. The 135kDa isoform is the basic molecule, which is glycosylated or sialylated to produce the mature species. Anti-CD56 recognizes two proteins of the neural cell adhesion molecule, the basic molecule expressed on most neuroectodermally derived tissues and neoplasms (e.g. retinoblastoma, medulloblastomas, astrocytomas, neuroblastomas, and small cell carcinomas). It is also expressed on some mesodermally derived tumors (rhabdomyosarcoma). Anti-CD56 plays an important role in the diagnosis of nodal and nasal NK/T-cell lymphomas.

Application Notes

The optimal dilution of the CD56 antibody for each application should be determined by the researcher.

1. The prediluted format is supplied in a dropper bottle and is optimized for use in IHC. After epitope retrieval step (if required), drip mAb solution onto the tissue section and incubate at RT for 30 min.

Immunogen

A membrane preparation of small cell lung carcinoma was used as the immunogen for this CD56 antibody. This mAb reacts with an extracellular domain (close to transmembrane) of CD56/NCAM.

Storage

Store the CD56 antibody at 2-8oC (with azide) or aliquot and store at -20oC or colder (without azide).

Cross
Bulk Quote Request Form
Name*:
Organization*:
Email*:
Phone Number*:
Catalog No.*:
Comments and Specifics(amount, formulation, etc.)*:
Validation code: Captchapackage Image


Can't read the image? click here to refresh.
    *required field

Your bulk quote request has been submitted successfully!

Please contact us if you have any questions.