• Tel: 858.663.9055
  • SeparatorEmail: info@nsjbio.com
  • Tel: 858.663.9055
  • Email: info@nsjbio.com
Home >> Antibodies >> CD46 Antibody

CD46 Antibody [clone AEI-3] (RQ5487)

  Catalog No Formulation Size Price (USD)  
Image RQ5487 Antibody in PBS with 0.02% sodium azide, 50% glycerol and 0.4-0.5mg/ml BSA 100 ul 439
Microvalidated Rab Mono Image
Bulk quote request
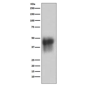
Western blot testing of human K562 cell lysate with CD46 antibody. Observed molecular weight: 41~70 kDa depending on glycosylation level.
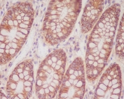
IHC staining of FFPE human colon tissue with CD46 antibody. HIER: boil tissue sections in pH6, 10mM citrate buffer, for 10-20 min and allow to cool before testing.
Availability 1-2 weeks
Species Reactivity Human
Format Purified
Clonality Rabbit Monoclonal
Isotype Rabbit IgG
Clone Name AEI-3
Purity Affinity purified
UniProt P15529
Localization Plasma membrane
Applications Western Blot : 1:500-1:2000
Immunohistochemistry (FFPE) : 1:50-1:200
Limitations This CD46 antibody is available for research use only.
Review this product on BioCompare and get a $20 Amazon gift card

Related Products

  • Applications : Functional studies, FACS, IF
    Reactivity : Human
  • Applications : FACS, IF
    Reactivity : Human
    Citation  Citations(9)
  • Applications : WB, IHC-P, FACS
    Reactivity : Human
  • Applications : FACS, IF
    Reactivity : Human
  • Applications : IHC, FACS, IF, WB, ELISA
    Reactivity : Human
  • Applications : WB, ELISA
    Reactivity : Human
  • Applications : IHC-P, IF, WB
    Reactivity : Human, Mouse, Rat
  • Applications : WB
    Reactivity : Mouse

Description

The protein encoded by the CD46 gene is a type I membrane protein and is a regulatory part of the complement system. The encoded protein has cofactor activity for inactivation of complement components C3b and C4b by serum factor I, which protects the host cell from damage by complement. In addition, the encoded protein can act as a receptor for the Edmonston strain of measles virus, human herpesvirus-6, and type IV pili of pathogenic Neisseria. Finally, the protein encoded by this gene may be involved in the fusion of the spermatozoa with the oocyte during fertilization. Mutations at this locus have been associated with susceptibility to hemolytic uremic syndrome. [RefSeq]

Application Notes

Optimal dilution of the CD46 antibody should be determined by the researcher.

Immunogen

A synthetic peptide specific to human CD46 was used as the immunogen for the CD46 antibody.

Storage

Store the CD46 antibody at -20oC.

Cross
Bulk Quote Request Form
Name*:
Organization*:
Email*:
Phone Number*:
Catalog No.*:
Comments and Specifics(amount, formulation, etc.)*:
Validation code: Captchapackage Image


Can't read the image? click here to refresh.
    *required field

Your bulk quote request has been submitted successfully!

Please contact us if you have any questions.