• Tel: 858.663.9055
  • SeparatorEmail: info@nsjbio.com
  • Tel: 858.663.9055
  • Email: info@nsjbio.com
Home >> Antibodies >> CD46 Antibody

CD46 Antibody [clone 9E9.] (RQ6023)

  Catalog No Formulation Size Price (USD)  
Image RQ6023 0.5mg/ml if reconstituted with 0.2ml sterile DI water 100 ug 439
Bulk quote request
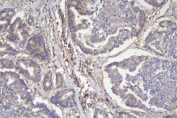
IHC staining of FFPE human liver cancer with CD46 antibody. HIER: boil tissue sections in pH8 EDTA for 20 min and allow to cool before testing.
IHC staining of FFPE human rectal cancer with CD46 antibody. HIER: boil tissue sections in pH8 EDTA for 20 min and allow to cool before testing.
Flow cytometry testing of human PBM cells with CD46 antibody at 1ug/million cells (blocked with goat sera); Red=cells alone, Green=isotype control, Blue= CD46 antibody.
Western blot testing of human HepG2 cell lysate with CD46 antibody. Observed molecular weight: 41~70 kDa depending on glycosylation level.
Availability 1-3 business days
Species Reactivity Human
Format Antigen affinity purified
Clonality Monoclonal (mouse origin)
Isotype Mouse IgG1
Clone Name 9E9.
Purity Affinity purified
Buffer Lyophilized from 1X PBS with 2% Trehalose and 0.025% sodium azide
UniProt P15529
Applications Western Blot : 0.5-1ug/ml
Immunohistochemistry : 1-2ug/ml
Flow Cytometry : 1-3ug/million cells
Limitations This CD46 antibody is available for research use only.
Review this product on BioCompare and get a $20 Amazon gift card

Related Products

  • Applications : Functional studies, FACS, IF
    Reactivity : Human
  • Applications : FACS, IF
    Reactivity : Human
    Citation  Citations(9)
  • Applications : IHC-P, WB
    Reactivity : Human
    Rab Mono Image
  • Applications : FACS, IF
    Reactivity : Human
  • Applications : IHC, FACS, IF, WB, ELISA
    Reactivity : Human
  • Applications : WB, ELISA
    Reactivity : Human
  • Applications : IHC-P, IF, WB
    Reactivity : Human, Mouse, Rat
  • Applications : WB
    Reactivity : Mouse

Description

CD46 complement regulatory protein also known as CD46 (cluster of differentiation 46) and Membrane Cofactor Protein is a protein which in humans is encoded by the CD46 gene. The protein encoded by this gene is a type I membrane protein and is a regulatory part of the complement system. And the encoded protein has cofactor activity for inactivation of complement components C3b and C4b by serum factor I, which protects the host cell from damage by complement. In addition, the encoded protein can act as a receptor for the Edmonston strain of measles virus, human herpesvirus-6, and type IV pili of pathogenic Neisseria. Finally, the protein encoded by this gene may be involved in the fusion of the spermatozoa with the oocyte during fertilization. Mutations at this locus have been associated with susceptibility to hemolytic uremic syndrome. Alternatively spliced transcript variants encoding different isoforms have been described.

Application Notes

Optimal dilution of the CD46 antibody should be determined by the researcher.

Immunogen

Amino acids YRYLQRRKKKGTYLTDETHREVKFTSL from the human protein were used as the immunogen for the CD46 antibody.

Storage

After reconstitution, the CD46 antibody can be stored for up to one month at 4oC. For long-term, aliquot and store at -20oC. Avoid repeated freezing and thawing.

Cross
Bulk Quote Request Form
Name*:
Organization*:
Email*:
Phone Number*:
Catalog No.*:
Comments and Specifics(amount, formulation, etc.)*:
Validation code: Captchapackage Image


Can't read the image? click here to refresh.
    *required field

Your bulk quote request has been submitted successfully!

Please contact us if you have any questions.