• Tel: 858.663.9055
  • SeparatorEmail: info@nsjbio.com
  • Tel: 858.663.9055
  • Email: info@nsjbio.com
Home >> Antibodies >> CD45 Antibody

CD45 Antibody [clone PTPRC/1460] (V3290)

  Catalog No Formulation Size Price (USD)  
Image V3290-100UG 0.2 mg/ml in 1X PBS with 0.1 mg/ml BSA (US sourced) and 0.05% sodium azide 100 ug 539
Image
V3290-20UG 0.2 mg/ml in 1X PBS with 0.1 mg/ml BSA (US sourced) and 0.05% sodium azide 20 ug 249
Image
V3290SAF-100UG 1 mg/ml in 1X PBS; BSA free, sodium azide free 100 ug 539
Bulk quote request
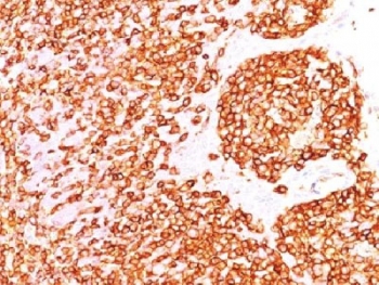
IHC test of FFPE human tonsil probed with CD45 antibody (clone PTPRC/1460). Required HIER: boil tissue sections in 10mM citrate buffer, pH 6, for 10-20 min.
Species Reactivity Human
Format Purified
Clonality Monoclonal (mouse origin)
Isotype Mouse IgG1, kappa
Clone Name PTPRC/1460
Purity Protein G affinity chromatography
Buffer 1X PBS, pH 7.4
UniProt P08575
Localization Cell surface and cytoplasmic
Applications Immunohistology (FFPE) : 0.5-1.0ug/ml for 30 min at RT
Limitations This CD45 antibody is available for research use only.
Review this product on BioCompare and get a $20 Amazon gift card

Related Products

Description

CD45R, also designated CD45 and PTPRC, has been identified as a transmembrane glycoprotein, broadly expressed among hematopoietic cells. Multiple isoforms of CD45R are distributed throughout the immune system according to cell type. These isoforms arise because of alternative splicing of exons 4, 5, and 6. The corresponding protein domains are characterized by the binding of monoclonal antibodies specific for CD45RA (exon 4), CD45RB (exon 5), CD45RC (exon 6) and CD45RO (exons 4 to 6 spliced out). The variation in these isoforms is localized to the extracellular domain of CD45R, while the intracellular domain is conserved. CD45R functions as a phosphor-tyrosine phosphatase. Antibody to CD45 is useful in differential diagnosis of lymphoid tumors from non-hematopoietic undifferentiated neoplasms.

Application Notes

Due to variation in protocol and secondary antibody used, the CD45 antibody may need to be titered for optimal performance.

Immunogen

Human B lymphocytes were used as the immunogen for the CD45 antibody.

Storage

CD45 antibody (with azide) can be stored at 2-8oC. The azide-free format should be aliquoted and stored at -20oC or colder.

Cross
Bulk Quote Request Form
Name*:
Organization*:
Email*:
Phone Number*:
Catalog No.*:
Comments and Specifics(amount, formulation, etc.)*:
Validation code: Captchapackage Image


Can't read the image? click here to refresh.
    *required field

Your bulk quote request has been submitted successfully!

Please contact us if you have any questions.