• Tel: 858.663.9055
  • SeparatorEmail: info@nsjbio.com
  • Tel: 858.663.9055
  • Email: info@nsjbio.com
Home >> Antibodies >> CD44v4 Antibody

CD44v4 Antibody [clone CD44v4/1219] (V3282)

  Catalog No Formulation Size Price (USD)  
Image V3282-100UG 0.2 mg/ml in 1X PBS with 0.1 mg/ml BSA (US sourced) and 0.05% sodium azide 100 ug 539
Image
V3282-20UG 0.2 mg/ml in 1X PBS with 0.1 mg/ml BSA (US sourced) and 0.05% sodium azide 20 ug 249
Image
V3282SAF-100UG 1 mg/ml in 1X PBS; BSA free, sodium azide free 100 ug 539
Bulk quote request
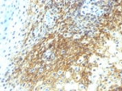
IHC testing of FFPE human cervical squamos cell carcinoma with CD44v4 antibody (clone CD44v4/1219). Required HIER: steam sections in pH 9 10mM Tris with 1mM EDTA buffer for 10-20 min.
IHC testing of FFPE human tongue squamos cell carcinoma with CD44v4 antibody (clone CD44v4/1219). Required HIER: steam sections in pH 9 10mM Tris with 1mM EDTA buffer for 10-20 min.
SDS-PAGE Analysis of Purified, BSA-Free CD44v4 Antibody (clone CD44v4/1219). Confirmation of Integrity and Purity of the Antibody.
Availability 1-3 business days
Species Reactivity Human
Format Purified
Clonality Monoclonal (mouse origin)
Isotype Mouse IgG2a, kappa
Clone Name CD44v4/1219
Purity Protein G affinity chromatography
UniProt P16070
Localization Cell surface, cytoplasmic
Applications Immunohistochemistry (FFPE) : 1-2ug/ml for 30 min at RT
Limitations This CD44v4 antibody is available for research use only.
Review this product on BioCompare and get a $20 Amazon gift card

Related Products

Description

This antibody recognizes an epitope encoded by exon v4 on the variant portion of human CD44. The CD44 molecule belongs to a family of cellular adhesion molecules found on a wide range of normal and malignant cells in epithelial, mesothelial and hemopoiesis tissues. It is a single gene with 20 exons, of which 10 are normally expressed to encode the basic CD44 (H-CAM) molecule. The additional 10 exons (v1 to v10) are only expressed by alternative splicing of the nuclear RNA. The expression of specific cell adhesion molecule CD44 splice variants has been reported to be associated with metastasis in certain human malignancies.

Application Notes

Titering of the CD44v4 antibody may be required for optimal performance.

Immunogen

An amino acid sequence from the variant 4 domain of CD44 was used as the immunogen for the CD44v4 antibody.

Storage

Store the CD44v4 antibody at 2-8oC (with azide) or aliquot and store at -20oC or colder (without azide).

Cross
Bulk Quote Request Form
Name*:
Organization*:
Email*:
Phone Number*:
Catalog No.*:
Comments and Specifics(amount, formulation, etc.)*:
Validation code: Captchapackage Image


Can't read the image? click here to refresh.
    *required field

Your bulk quote request has been submitted successfully!

Please contact us if you have any questions.